康澤牙醫診所
  • 最新消息
  • 關於康澤
  • 醫師團隊
    • 江明學 院長 Dr.Chiang
    • 穆慧英 副院長 Dr.Mu
    • 李欣頻 醫師 Dr.Li
    • 劉志信 醫師 Dr.Liu
    • 孫以華 醫師 Dr.Sun
    • 侯辰翔 醫師 Dr.Hou
  • 植牙與矯正中心
    • 康澤3D導航植牙專科中心
    • 康澤隱形矯正專科中心
  • 診療項目
    • All-on-4 一日全口重建
    • 人工植牙(導航技術)
    • 傳統矯正
    • 隱適美數位隱形矯正
    • 全瓷牙冠
    • BPS吸附式全口假牙
    • 舒眠治療
    • 牙齒美白
    • 口腔外科
    • 顯微根管
    • 牙周治療 (再生手術)
    • 水雷射治療
  • 醫療設備
    • 洗牙機
    • 噴砂機
    • 假牙比色機
    • 3D電腦斷層立體影像
    • 3shape 數位口內掃描儀
    • Pluser水雷射
    • 手術專用血氧監視器
    • 植牙微痛麻醉機
    • 美國LABOMED顯微鏡
  • 實際案例
    • 噴砂案例
    • 矯正案例
    • 植牙手術案例
    • 牙周手術案例
    • 前牙美學案例
    • 美白貼片DSD案例
    • 全口重建治療案例
    • All on 4案例
    • 活動式假牙案例
    • 自體牙移植案例
  • 微笑見證
    • YOUTUBE推薦
    • 部落客推薦
    • 醫師專欄
  • 停車資訊
預約專線:02-2602-2995
  • 最新消息
  • 關於康澤
  • 醫師團隊
    • 江明學 院長 Dr.Chiang
    • 穆慧英 副院長 Dr.Mu
    • 李欣頻 醫師 Dr.Li
    • 劉志信 醫師 Dr.Liu
    • 孫以華 醫師 Dr.Sun
    • 侯辰翔 醫師 Dr.Hou
  • 植牙與矯正中心
    • 康澤3D導航植牙專科中心
    • 康澤隱形矯正專科中心
  • 診療項目
    • All-on-4 一日全口重建
    • 人工植牙(導航技術)
    • 傳統矯正
    • 隱適美數位隱形矯正
    • 全瓷牙冠
    • BPS吸附式全口假牙
    • 舒眠治療
    • 牙齒美白
    • 口腔外科
    • 顯微根管
    • 牙周治療 (再生手術)
    • 水雷射治療
  • 醫療設備
    • 洗牙機
    • 噴砂機
    • 假牙比色機
    • 3D電腦斷層立體影像
    • 3shape 數位口內掃描儀
    • Pluser水雷射
    • 手術專用血氧監視器
    • 植牙微痛麻醉機
    • 美國LABOMED顯微鏡
  • 實際案例
    • 噴砂案例
    • 矯正案例
    • 植牙手術案例
    • 牙周手術案例
    • 前牙美學案例
    • 美白貼片DSD案例
    • 全口重建治療案例
    • All on 4案例
    • 活動式假牙案例
    • 自體牙移植案例
  • 微笑見證
    • YOUTUBE推薦
    • 部落客推薦
    • 醫師專欄
  • 停車資訊
「用心照護,溫馨服務」

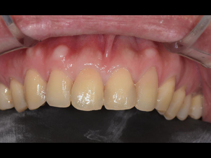
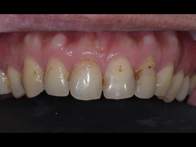
前牙美學案例

首頁 / 實際案例 / 前牙美學案例
前牙假牙案例 前牙假牙案例
前牙假牙案例
MORE
前牙美學案例 前牙美學案例
前牙美學案例
MORE
前牙美學案例 前牙美學案例
前牙美學案例
MORE
適當的牙齦露出量是擁有美麗迷人笑容的關鍵因素之一 適當的牙齦露出量是擁有美麗迷人笑容的關鍵因素之一
適當的牙齦露出量是擁有美麗迷人笑容的關鍵因素之一
MORE
美白貼片治療 美白貼片治療
美白貼片治療
MORE
陶瓷貼片 畸形門牙 陶瓷貼片 畸形門牙
陶瓷貼片 畸形門牙
MORE
前牙美學_金屬牙冠造成牙齦黑邊 前牙美學_金屬牙冠造成牙齦黑邊
前牙美學_金屬牙冠造成牙齦黑邊
MORE
前牙美學_修復斷牙案例 前牙美學_修復斷牙案例
前牙美學_修復斷牙案例
MORE
前牙美學_門牙斷裂案例 前牙美學_門牙斷裂案例
前牙美學_門牙斷裂案例
MORE
前牙美學_菸垢黃牙 前牙美學_菸垢黃牙
前牙美學_菸垢黃牙
MORE
  • 1
  • 2
康澤牙醫診所
線上預約
  • 02-2602-2995
  • 新北市林口區中山路255號
  • 周一至周五 13:30-17:30 / 18:00-21:00
  • 周一至周五早上休診
  • 周六(採約診制) 09:30-13:00 / 14:00-17:30 , 周日及國定假日休診
看診時間 一 二 三 四 五 六
早上 09:30~12:00 ○ ○ ○ ○ ○ ★
下午 14:00~17:00 ● ● ● ● ● ★
晚上 18:00~21:00 ● ● ● ● ● ○

※ ○ 休診 / ★ 採約診制

  • Designed by GTUT
  • 網站地圖
  • 管理 Cookies
  • 本站最佳瀏覽環境請使用 Google Chrome、Firefox 或 Edge 以上版本
  • 本網站禁止任何網際網路服務業者擷取或轉載內容