最新消息
關於康澤
醫師團隊
江明學 院長 Dr.Chiang
穆慧英 副院長 Dr.Mu
李欣頻 醫師 Dr.Li
劉志信 醫師 Dr.Liu
孫以華 醫師 Dr.Sun
侯辰翔 醫師 Dr.Hou
植牙與矯正中心
康澤3D導航植牙專科中心
康澤隱形矯正專科中心
診療項目
All-on-4 一日全口重建
人工植牙(導航技術)
傳統矯正
隱適美數位隱形矯正
全瓷牙冠
BPS吸附式全口假牙
舒眠治療
牙齒美白
口腔外科
顯微根管
牙周治療 (再生手術)
水雷射治療
醫療設備
洗牙機
噴砂機
假牙比色機
3D電腦斷層立體影像
3shape 數位口內掃描儀
Pluser水雷射
手術專用血氧監視器
植牙微痛麻醉機
美國LABOMED顯微鏡
實際案例
噴砂案例
矯正案例
植牙手術案例
牙周手術案例
前牙美學案例
美白貼片DSD案例
全口重建治療案例
All on 4案例
活動式假牙案例
自體牙移植案例
微笑見證
YOUTUBE推薦
部落客推薦
醫師專欄
停車資訊
預約專線:
02-2602-2995
最新消息
關於康澤
醫師團隊
+
–
江明學 院長 Dr.Chiang
穆慧英 副院長 Dr.Mu
李欣頻 醫師 Dr.Li
劉志信 醫師 Dr.Liu
孫以華 醫師 Dr.Sun
侯辰翔 醫師 Dr.Hou
植牙與矯正中心
+
–
康澤3D導航植牙專科中心
康澤隱形矯正專科中心
診療項目
+
–
All-on-4 一日全口重建
人工植牙(導航技術)
傳統矯正
隱適美數位隱形矯正
全瓷牙冠
BPS吸附式全口假牙
舒眠治療
牙齒美白
口腔外科
顯微根管
牙周治療 (再生手術)
水雷射治療
醫療設備
+
–
洗牙機
噴砂機
假牙比色機
3D電腦斷層立體影像
3shape 數位口內掃描儀
Pluser水雷射
手術專用血氧監視器
植牙微痛麻醉機
美國LABOMED顯微鏡
實際案例
+
–
噴砂案例
矯正案例
植牙手術案例
牙周手術案例
前牙美學案例
美白貼片DSD案例
全口重建治療案例
All on 4案例
活動式假牙案例
自體牙移植案例
微笑見證
+
–
YOUTUBE推薦
部落客推薦
醫師專欄
停車資訊
前牙假牙案例
首頁
/
實際案例
/
前牙美學案例
/
前牙假牙案例
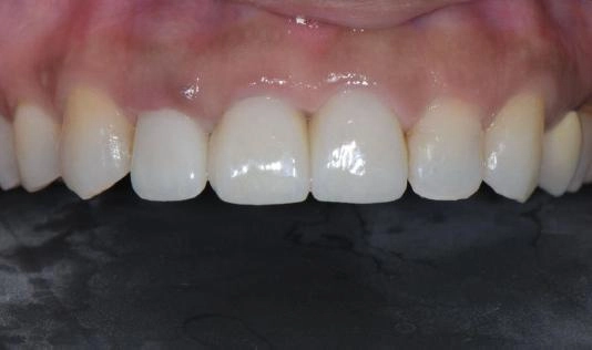
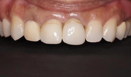
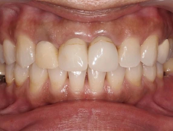
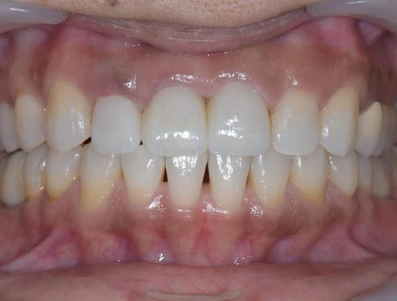
牙齒狀況改善
治療前
治療後
治療前
治療後
分享到