前牙美學-瓷牙貼片+牙冠增長術案例
抽菸牙齒變黃怎麼辦?
香菸中含有「尼古丁」、「菸焦油」,這兩種物質一旦接觸到氧氣,就會變成黃褐色,進而附著於牙齒表面,所以就算很勤勞刷牙,污漬還是容易積累在牙齒上。
「我想要洗牙把牙齒上的菸垢洗掉」這是許小姐求診時提出的要求。 抽菸所引起的黃牙,光靠洗牙是無法完全清除的,因為洗牙只能清除表面汙垢、結石,如果想要美白牙齒,建議做其他美白治療。
對於許小姐來說最適合的治療方案就是瓷牙貼片,既可以快速美白牙齒又可修復牙齒形狀。
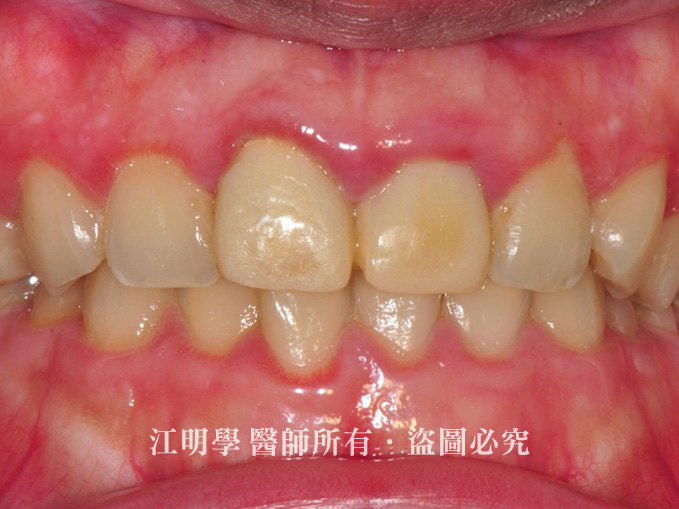
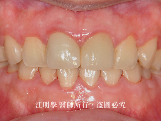
磨損嚴重的黃牙,做美白貼片+牙冠增長術
治療前:牙齒泛黃嚴重、牙齒磨損。
治療後:牙齒亮白、牙型修正至完美型態。
患者見證分享
牙齒好久沒這麼漂亮了,原本只是想說讓牙齒變白就好了,還好聽江醫師建議做美白貼片,可以順便把牙齒缺損、歪歪的地方修正,自從做完瓷牙貼片過後,常常有人稱讚我的牙齒變好乾淨、變好整齊唷,有種相見恨晚的感覺!
此療程皆由醫生評估後,依照個人口腔狀況進行治療
每個人情況不同,實際情況須經由醫師專業評估而定
此療程皆由醫生評估後,依照個人口腔狀況進行治療
每個人情況不同,實際情況須經由醫師專業評估而定
治療醫師

植牙專科/牙周專科 江明學 醫師
主治項目
All-on-4 一日全口重建
三合一牙周治療
DSD數位微笑設計全瓷貼片
微創導航植牙
舒眠治療
3D齒雕

