康澤牙醫診所
  • 最新消息
  • 關於康澤
  • 醫師團隊
    • 江明學 院長 Dr.Chiang
    • 穆慧英 副院長 Dr.Mu
    • 李欣頻 醫師 Dr.Li
    • 劉志信 醫師 Dr.Liu
    • 孫以華 醫師 Dr.Sun
    • 侯辰翔 醫師 Dr.Hou
  • 植牙與矯正中心
    • 康澤3D導航植牙專科中心
    • 康澤隱形矯正專科中心
  • 診療項目
    • All-on-4 一日全口重建
    • 人工植牙(導航技術)
    • 傳統矯正
    • 隱適美數位隱形矯正
    • 全瓷牙冠
    • BPS吸附式全口假牙
    • 舒眠治療
    • 牙齒美白
    • 口腔外科
    • 顯微根管
    • 牙周治療 (再生手術)
    • 水雷射治療
  • 醫療設備
    • 洗牙機
    • 噴砂機
    • 假牙比色機
    • 3D電腦斷層立體影像
    • 3shape 數位口內掃描儀
    • Pluser水雷射
    • 手術專用血氧監視器
    • 植牙微痛麻醉機
    • 美國LABOMED顯微鏡
  • 實際案例
    • 噴砂案例
    • 矯正案例
    • 植牙手術案例
    • 牙周手術案例
    • 前牙美學案例
    • 美白貼片DSD案例
    • 全口重建治療案例
    • All on 4案例
    • 活動式假牙案例
    • 自體牙移植案例
  • 微笑見證
    • YOUTUBE推薦
    • 部落客推薦
    • 醫師專欄
  • 停車資訊
預約專線:02-2602-2995
  • 最新消息
  • 關於康澤
  • 醫師團隊
    • 江明學 院長 Dr.Chiang
    • 穆慧英 副院長 Dr.Mu
    • 李欣頻 醫師 Dr.Li
    • 劉志信 醫師 Dr.Liu
    • 孫以華 醫師 Dr.Sun
    • 侯辰翔 醫師 Dr.Hou
  • 植牙與矯正中心
    • 康澤3D導航植牙專科中心
    • 康澤隱形矯正專科中心
  • 診療項目
    • All-on-4 一日全口重建
    • 人工植牙(導航技術)
    • 傳統矯正
    • 隱適美數位隱形矯正
    • 全瓷牙冠
    • BPS吸附式全口假牙
    • 舒眠治療
    • 牙齒美白
    • 口腔外科
    • 顯微根管
    • 牙周治療 (再生手術)
    • 水雷射治療
  • 醫療設備
    • 洗牙機
    • 噴砂機
    • 假牙比色機
    • 3D電腦斷層立體影像
    • 3shape 數位口內掃描儀
    • Pluser水雷射
    • 手術專用血氧監視器
    • 植牙微痛麻醉機
    • 美國LABOMED顯微鏡
  • 實際案例
    • 噴砂案例
    • 矯正案例
    • 植牙手術案例
    • 牙周手術案例
    • 前牙美學案例
    • 美白貼片DSD案例
    • 全口重建治療案例
    • All on 4案例
    • 活動式假牙案例
    • 自體牙移植案例
  • 微笑見證
    • YOUTUBE推薦
    • 部落客推薦
    • 醫師專欄
  • 停車資訊
「用心照護,溫馨服務」

洗牙機

首頁 / 醫療設備 / 洗牙機

舒適洗牙您想要嗎?

康澤牙醫診所為病人著想 !! 採用ART Maverick洗牙機,具有體積小,能維持震幅等優點,大幅減少洗牙酸痛感,是醫生和病人的好幫手!

磁伸式(Magnet)洗牙機是利用電磁效應的原理,讓洗牙機頭產生前後振盪的現象,再利用這種振盪作用,作為清理牙結石的工具。磁伸式洗牙機是最早發展出來的電動洗牙機,取代了傳統牙醫師清理結石的刮刀。藉由磁伸式洗牙機高密度的振動,並配合水花的清洗作用可以輕易的將牙結石除去。此型洗牙機廣泛的使用於美國,有研究指出磁伸式洗牙機對於牙齒傷害的程度,是所有洗牙機中較小的,所以使用本機組是非常舒服輕鬆的。
 

磁伸型洗牙機以及壓電式洗牙機是有明顯區別的

  1. 壓電式洗牙機(一般診所在用) : 對牙齒表面的牙結石是用敲打的方式來清理,對病人會感到比較酸痛,對牙齒表面也有一定的損傷。
  2. 磁伸式洗牙機(康澤牙醫診所專用) : 對牙齒表面的牙結石是用8字形磨的方式來清理,主要是將結石一層一層磨掉,搭配溫水,病人會感到很舒適。

ART Maverick主要功能 :

  1. 舒適洗牙
    (採用人體相容鈦合金材質)
    (高頻率低震幅)
  2. 牙齦上以及牙齦下的牙周治療(深度可達2.5 ~ 3mm)
  3. 根管治療沖洗
 
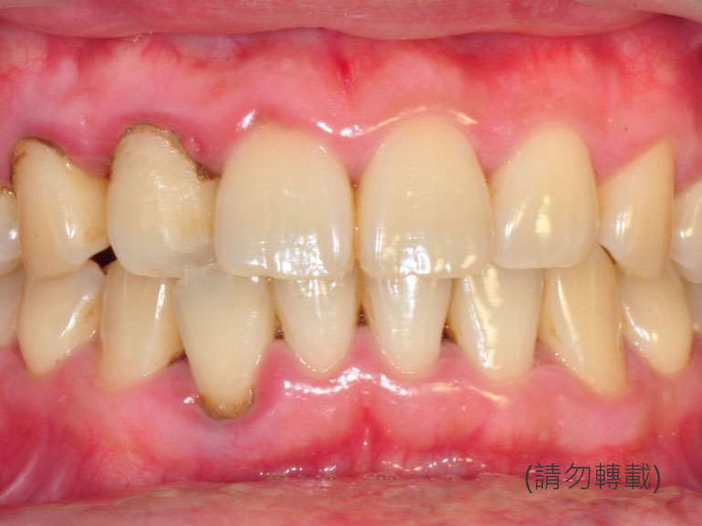
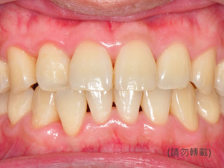
(洗牙前)
(洗牙後)
康澤牙醫診所提醒定期洗牙好處多,不僅可去除附著在牙齒上的菌斑和牙結石,更能預防牙周病,提升口腔健康。健保提供每半年1次的洗牙服務,聰明睿智的您,請盡速打電話02-26022995預約洗牙吧!

聲明: 本所療程皆由專業醫生評估後,依照個人口腔狀況進行治療。因每位患者個別狀況不同,術後狀況也不盡相同,需親來本所由醫生評估。
康澤牙醫診所
線上預約
  • 02-2602-2995
  • 新北市林口區中山路255號
  • 周一至周五 13:30-17:30 / 18:00-21:00
  • 周一至周五早上休診
  • 周六(採約診制) 09:30-13:00 / 14:00-17:30 , 周日及國定假日休診
看診時間 一 二 三 四 五 六
早上 09:30~12:00 ○ ○ ○ ○ ○ ★
下午 14:00~17:00 ● ● ● ● ● ★
晚上 18:00~21:00 ● ● ● ● ● ○

※ ○ 休診 / ★ 採約診制

  • Designed by GTUT
  • 網站地圖
  • 管理 Cookies
  • 本站最佳瀏覽環境請使用 Google Chrome、Firefox 或 Edge 以上版本
  • 本網站禁止任何網際網路服務業者擷取或轉載內容