前牙美學-牙齦黑邊案例
假牙周圍黑黑的還有救嗎?
「我十幾年前裝的假牙,前陣子有發現牙齦這邊都會黑黑的怎麼刷都刷不掉,有什麼方法可以去掉牙齒周圍這些黑黑的顏色嗎?」林阿姨初診時詢問江醫師。
假牙周圍發黑常見的兩種原因:可能是因為牙肉萎縮、或者是牙材的金屬成分造成的染色等原因。林阿姨的情況可以將老舊的金屬牙冠拆除,再換上Emax全瓷冠,因為這種材質的牙冠沒有金屬成分、透光性也比較好,看起來會更為自然。
假牙周圍發黑常見的兩種原因:可能是因為牙肉萎縮、或者是牙材的金屬成分造成的染色等原因。林阿姨的情況可以將老舊的金屬牙冠拆除,再換上Emax全瓷冠,因為這種材質的牙冠沒有金屬成分、透光性也比較好,看起來會更為自然。
金屬假牙造成牙齦黑邊
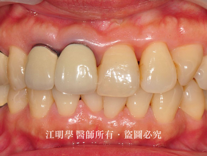
治療前:金屬邊外露,假牙周圍呈現黑色。
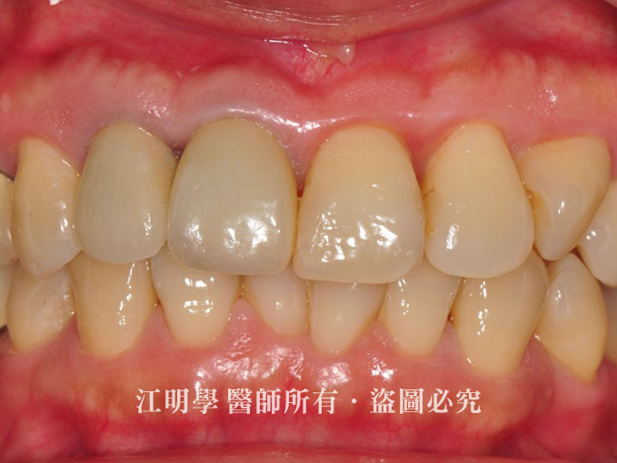
治療後:假牙周圍已漸漸恢復原本的顏色。
患者見證分享
江醫師很細心地跟我講解原因和治療方式,所以我可以很放心地交給江醫師處理。在換了假牙、變漂亮之後,現在都可以很自然的開口笑了,真的覺得應該要早一點來找江醫師的,現在的牙齒我很滿意。
此療程皆由醫生評估後,依照個人口腔狀況進行治療
每個人情況不同,實際情況須經由醫師專業評估而定
每個人情況不同,實際情況須經由醫師專業評估而定
治療醫師

植牙專科/牙周專科 江明學 醫師
主治項目
All-on-4 一日全口重建
三合一牙周治療
DSD數位微笑設計全瓷貼片
微創導航植牙
舒眠治療
3D齒雕

