前牙美學-陶瓷貼片修改牙齒型態
病患治療訴求:
K小姐天生側門牙較小,牙齒型態不一導致笑起來像缺一角,好想要平滑的齒面,可以做假牙套起來嗎?。
K小姐天生側門牙較小,牙齒型態不一導致笑起來像缺一角,好想要平滑的齒面,可以做假牙套起來嗎?。
看看醫師怎麼說:
牙齒還很健康,做假牙要修掉健康琺瑯質很不划算,建議使用美白陶瓷貼片,不傷原生齒,還很牢固唷!!!。
牙齒還很健康,做假牙要修掉健康琺瑯質很不划算,建議使用美白陶瓷貼片,不傷原生齒,還很牢固唷!!!。
好想要明星般的明亮皓齒
幫牙齒戴上新面具
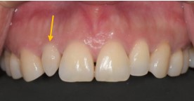
治療前:畸形側門牙,前牙型態不一。
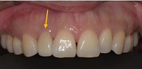
治療後:陶瓷貼片覆蓋,齒色也調整一致,猶如原生齒一般。
患者見證分享
真的應該要更新一下資訊,原來改變牙齒型態還有 “陶瓷貼片” 這個新選擇。
完成治療後發現,居然跟我前牙的其他牙齒齒色一模一樣!!!
就像是我自己的牙齒一樣自然,形狀看起來也漂亮,再也不怕別人看我的牙齒了!。
此療程皆由醫生評估後,依照個人口腔狀況進行治療
每個人情況不同,實際情況須經由醫師專業評估而定
完成治療後發現,居然跟我前牙的其他牙齒齒色一模一樣!!!
就像是我自己的牙齒一樣自然,形狀看起來也漂亮,再也不怕別人看我的牙齒了!。
此療程皆由醫生評估後,依照個人口腔狀況進行治療
每個人情況不同,實際情況須經由醫師專業評估而定
治療醫師

植牙專科/牙周專科 江明學 醫師
主治項目
All-on-4 一日全口重建
三合一牙周治療
DSD數位微笑設計全瓷貼片
微創導航植牙
舒眠治療
3D齒雕

