預約專線:
02-2602-2995
預約專線:
02-2602-2995
首頁
最新消息
關於康澤
診所介紹
醫師團隊
康澤3D導航植牙中心
康澤隱形矯正中心
診療項目
醫療設備
洗牙機
噴砂機
假牙比色機
3D電腦斷層立體影像
美國LABOMED顯微鏡
3shape 數位口內掃描儀
Pluser水雷射
手術專用血氧監視器
植牙微痛麻醉機
實際案例
噴砂案例
矯正案例
植牙手術案例
牙周手術案例
前牙美學案例
美白貼片DSD案例
全口重建治療
All on 4案例
活動式假牙案例
自體牙移植案例
微笑見證
微笑見證
矯正專欄
患者推薦
停車資訊
「用心照護,溫馨服務」
活動式假牙案例
首頁
實際案例
活動式假牙案例
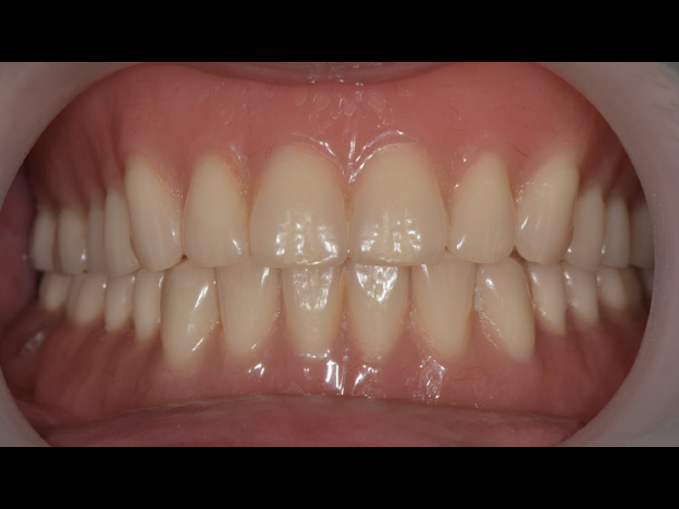
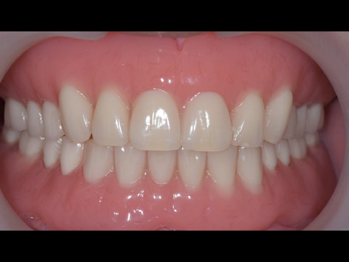
BPS全口假牙治療
BPS全口假牙治療
活動式假牙案例
活動式假牙案例
全口假牙_BPS
活動假牙