預約專線:
02-2602-2995
預約專線:
02-2602-2995
首頁
最新消息
關於康澤
診所介紹
醫師團隊
康澤3D導航植牙中心
康澤隱形矯正中心
診療項目
醫療設備
洗牙機
噴砂機
假牙比色機
3D電腦斷層立體影像
美國LABOMED顯微鏡
3shape 數位口內掃描儀
Pluser水雷射
手術專用血氧監視器
植牙微痛麻醉機
實際案例
噴砂案例
矯正案例
植牙手術案例
牙周手術案例
前牙美學案例
美白貼片DSD案例
全口重建治療
All on 4案例
活動式假牙案例
自體牙移植案例
微笑見證
微笑見證
矯正專欄
患者推薦
停車資訊
「用心照護,溫馨服務」
美白貼片治療效果
首頁
實際案例
美白貼片DSD案例
美白貼片治療效果
實際案例
噴砂案例
矯正案例
植牙手術案例
牙周手術案例
前牙美學案例
美白貼片DSD案例
全口重建治療案例
All on 4案例
活動式假牙案例
自體牙移植案例
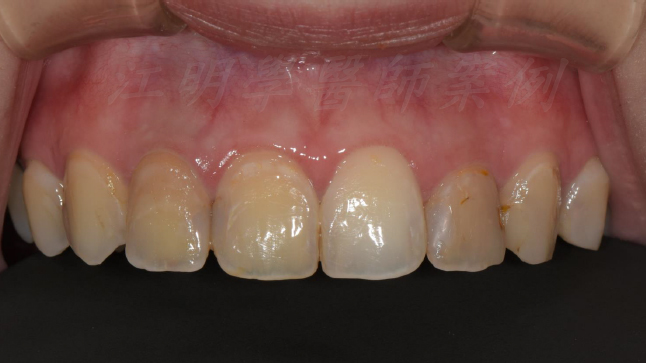
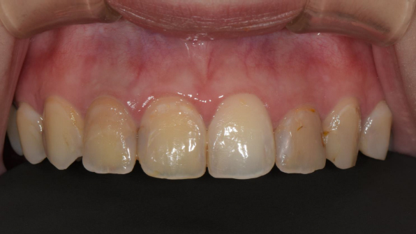
牙齒現況問題
顏色過深,側門牙形狀不對稱
牙齒蛀牙,門牙牙齦線不對稱
先做臨時假牙測試咬合
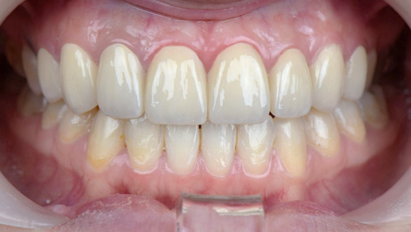
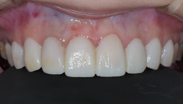
顏色改善成較白齒色,下面門牙也做樹脂填補 側門牙形狀改成對稱
牙齒蛀牙填補完成門牙牙齦線用雷射調整
正式裝戴完成
整體變成合諧的狀況
治療結果前後比較
治療前
治療後
術後得到顯著改善,更加整齊、美觀,並達到理想的咬合狀態。 也能帶來更自信的笑容。
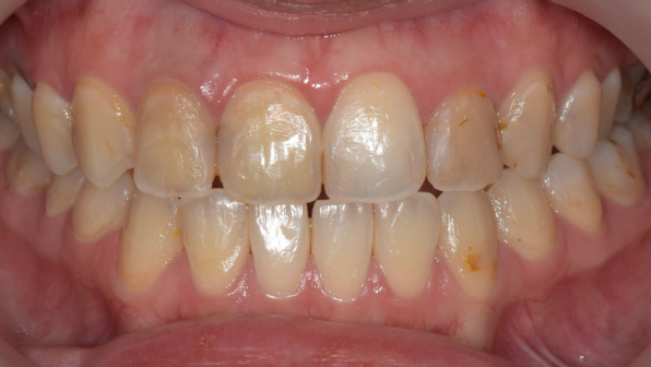
治療結果前後比較
治療前
治療後
術後得到顯著改善,更加整齊、美觀,並達到理想的咬合狀態。 也能帶來更自信的笑容。
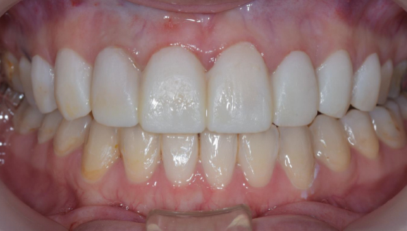
微笑治療結果前後比較
治療前
治療後
此療程皆由醫生評估後,依照個人口腔狀況進行治療
每個人情況不同,實際情況須經由醫師專業評估而定