全口植牙案例
病患治療訴求:
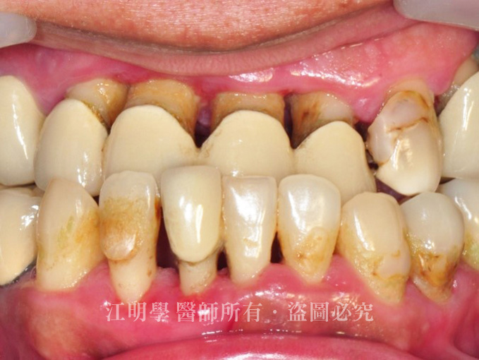
多年前製作的瓷牙套,因為使用已久,密合度不足,開始出現縫隙甚至脫落,已嚴重影響進食,長期飲食不均衡,直到去醫院健檢時發現健康亮起了紅燈,為了從根本解決問題,才下定決心來求診。
多年前製作的瓷牙套,因為使用已久,密合度不足,開始出現縫隙甚至脫落,已嚴重影響進食,長期飲食不均衡,直到去醫院健檢時發現健康亮起了紅燈,為了從根本解決問題,才下定決心來求診。
看看醫師怎麼說:
細菌隨口水滲入假牙內,造成二度蛀牙,需拆除舊的固定式假牙,重新評估齒質條件並擬定後續治療計畫。
細菌隨口水滲入假牙內,造成二度蛀牙,需拆除舊的固定式假牙,重新評估齒質條件並擬定後續治療計畫。
固定假牙非一勞永逸!
傳統瓷金屬假牙換全瓷牙冠
拆除既有固定式假牙,並考量牙齒長久使用性,為江先生進行根管治療與假牙膺復,以完整恢復牙齒的健康與功能。
接著利用人工植牙將缺牙部分重建起來,並重新設計牙齦高度,將咬合調整到最自然美觀的位置。
![]()
接著利用人工植牙將缺牙部分重建起來,並重新設計牙齦高度,將咬合調整到最自然美觀的位置。
治療前:牙肉因剌激而萎縮,假牙逐漸脫落,且因清潔不易,口腔常常伴隨嚴重異味。
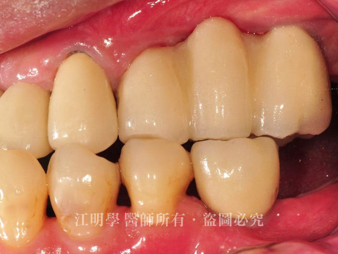
治療後:配合自然牙的狀態重建植牙,讓整體更加和諧。

以植牙搭配牙橋的方式,解決江先生的困擾
植牙患者真實見證分享

江先生回診時表示,現在有了一口完整健康的牙齒,不但飲食正常,身體狀況也逐漸恢復。更大的收穫,是從醫師身上獲得許多牙齒保健的知識,現在江先生終於瞭解到,飲食不但直接影響身體健康,也對情緒和精神健康有很大的關係,並表示絕對會好好保養這口新牙。
身為江先生的主治醫師,每次江先生回診時,氣色都變得更好一些,笑容也越來越多了,打從心底為他感到開心,這種成就感,就是當醫師最大的快樂。
此療程皆由醫生評估後,依照個人口腔狀況進行治療
每個人情況不同,實際情況須經由醫師專業評估而定
每個人情況不同,實際情況須經由醫師專業評估而定
治療醫師

植牙專科/牙周專科 江明學 醫師
主治項目
All-on-4 一日全口重建
三合一牙周治療
DSD數位微笑設計全瓷貼片
微創導航植牙
舒眠治療
3D齒雕

