前牙植牙案例
病患治療訴求:
李先生因工作應酬,菸酒經常不離身,後排牙齒陸續慢慢掉牙,原本不以為意,直到近期門牙掉落,嚴重影響美觀且右下方牙齒腫痛,於是來本院尋求治療。
李先生因工作應酬,菸酒經常不離身,後排牙齒陸續慢慢掉牙,原本不以為意,直到近期門牙掉落,嚴重影響美觀且右下方牙齒腫痛,於是來本院尋求治療。
看看醫師怎麼說:
經過術前的仔細評估,決定先利用牙科顯微鏡,全面地將根管內部清理乾淨、拔除牙齒缺損較大的殘根,並補足流失的骨質後再進行植牙手術,讓每顆牙齒的咬合與支撐點恢復正常。
經過術前的仔細評估,決定先利用牙科顯微鏡,全面地將根管內部清理乾淨、拔除牙齒缺損較大的殘根,並補足流失的骨質後再進行植牙手術,讓每顆牙齒的咬合與支撐點恢復正常。
李先生/植牙患者心聲
「多年前在高雄上班,因牙痛就近治療並製作假牙,結果治療結果跟預期不符,且假牙太大顆壓迫到牙齦造成發炎,來回折騰了好幾次才解決。」製作假牙前,李先生向醫師分享過去看牙不好的經驗。
醫師與李先生經過充分溝通,並講解植牙製作流程後,消除李先生術前的擔憂與不安感。
植牙術前會先利用數位掃描結合電腦斷層,3D模擬植牙計畫,全面掌握患者神經血管位置,微創傷口小,手術更安全。
醫師與李先生經過充分溝通,並講解植牙製作流程後,消除李先生術前的擔憂與不安感。
植牙術前會先利用數位掃描結合電腦斷層,3D模擬植牙計畫,全面掌握患者神經血管位置,微創傷口小,手術更安全。
衣服可以試穿,假牙也能試戴!
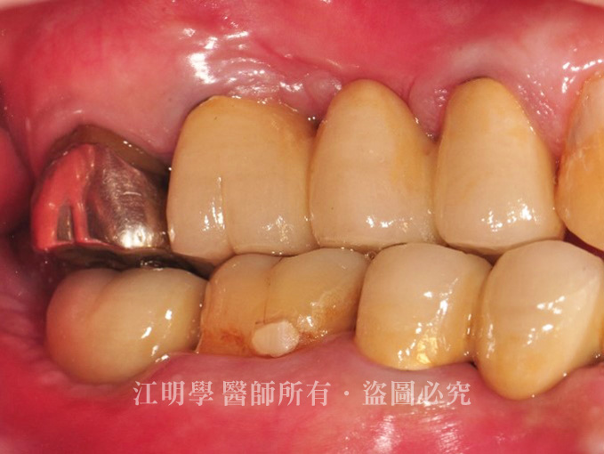
清理壞死的牙髓神經,拔除殘根後植牙重建
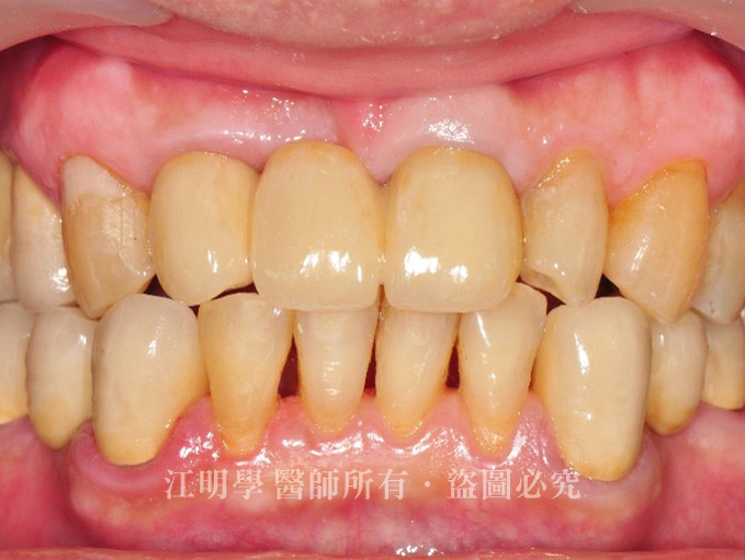
治療前:牙齒陸續崩落造成多處空洞
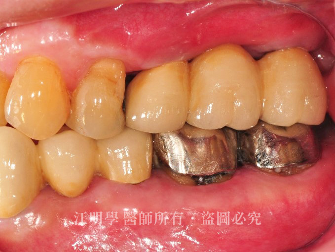
治療後:牙齒的咬合與支撐點恢復正常
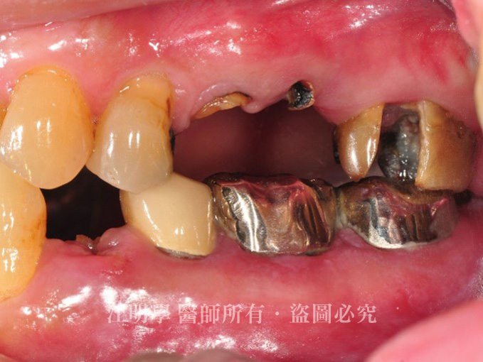
治療前:牙齒空洞過大,已傷害到牙髓神經。
治療後:進行根管治療來清除發炎或壞死牙髓組織,最後套上假牙冠保護牙齒預防斷裂。
兼具功能性與美觀的前牙重建
植牙患者真實見證分享
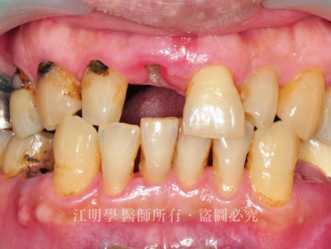
治療前
治療後。門牙植體如同真牙般擬真自然,完整貼合李先生周邊牙齒的形狀。.
此療程皆由醫生評估後,依照個人口腔狀況進行治療
每個人情況不同,實際情況須經由醫師專業評估而定
每個人情況不同,實際情況須經由醫師專業評估而定
治療醫師

植牙專科/牙周專科 江明學 醫師
主治項目
All-on-4 一日全口重建
三合一牙周治療
DSD數位微笑設計全瓷貼片
微創導航植牙
舒眠治療
3D齒雕

