害怕看牙導致牙周病惡化
一位從台南特別上來的的患者,特意來到我的門診,做植牙諮詢。 她是我之前在成大做住院醫師認識的病人,當初在實習時曾幫他做過牙周治療,想不到好幾年後,竟會特意北上看診。
謝謝病人對我的信任!這種信任感必使我肩責病人期許做到最好!
病患治療訴求:
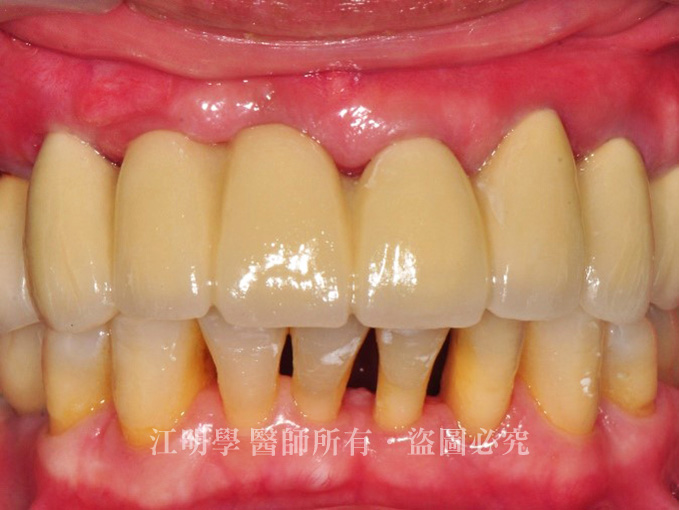
後牙有多處缺牙,飲食上只能吃軟食,大笑時又會看到缺牙區,因為害怕看牙醫,拖延治療導致多處缺牙、牙周病問題嚴重。
後牙有多處缺牙,飲食上只能吃軟食,大笑時又會看到缺牙區,因為害怕看牙醫,拖延治療導致多處缺牙、牙周病問題嚴重。
看看醫師怎麼說:
1.先做根管治療,並拔除牙疾嚴重無法重建的殘根以降低感染風險。
2.治療牙周病,將牙周恢復至健康狀狀態。
3.最後再進行植牙手術重建缺牙處。
1.先做根管治療,並拔除牙疾嚴重無法重建的殘根以降低感染風險。
2.治療牙周病,將牙周恢復至健康狀狀態。
3.最後再進行植牙手術重建缺牙處。
將殘根修復與重建,讓缺牙區恢復美觀及咀嚼功能!
無痛舒眠植牙,舒緩植牙過程的緊張與不適!
無痛舒眠植牙,一覺醒來即完成植牙手術
57歲的李太太從小就很害怕看牙醫,拖延治療導致多處缺牙、牙周病問題嚴重。評估與討論過後,手術全程採用康澤牙醫診所合作配合的TCI舒眠止痛系統。
讓患者在手術過程中彷彿睡著一般,幾乎感受不到任何疼痛,完全消除了手術過程的緊張與不適。
讓患者在手術過程中彷彿睡著一般,幾乎感受不到任何疼痛,完全消除了手術過程的緊張與不適。
TCI舒眠止痛系統
舒眠鎮靜植牙幫助病患戰勝看牙恐懼
李太太因害怕看牙時鑽針尖銳的聲音、以及打局部麻藥時的疼痛感,遲遲不敢求診而錯過治療黃金期。等到牙周病問題嚴重時再就醫,不但治療的時間較長,治療程序也更複雜困難。
經過溝通過後,決定使用舒眠治療,幫助李太太病患克服恐懼,在治療過程中聽不到鑽牙聲、亦感覺不到打局部麻藥時的疼痛感。
經過溝通過後,決定使用舒眠治療,幫助李太太病患克服恐懼,在治療過程中聽不到鑽牙聲、亦感覺不到打局部麻藥時的疼痛感。
治療前
治療後
植牙患者真實見證分享
來看看李太太在接受植牙治療前後的對比:
經過數個階段性治療,李太太的牙齒補齊了,非常滿意治療的成果。
原本擔心會疼痛的李太太,很驚訝地表示在治療過程很放鬆、沒有任何的不適感,療程也比預期中更快速,和她以前就診的經驗完全不同。
治療前:後牙多處缺牙導致咀嚼困難
治療後:咀嚼功能明顯提升
治療前:開口笑時隱約會看到缺牙
治療後:缺牙問題解決,笑起來更有自信
經過數個階段性治療,李太太的牙齒補齊了,非常滿意治療的成果。
原本擔心會疼痛的李太太,很驚訝地表示在治療過程很放鬆、沒有任何的不適感,療程也比預期中更快速,和她以前就診的經驗完全不同。

李太太最擔心的是術後傷口疼痛以及畏懼牙科,在安撫李太太的情緒後,與他討論過治療計畫後,在半年後終於完成李太太的期待!
治療結束後李太太感動的心情不言而喻,原本缺少的牙齒補齊了,不用再擔心講話時會漏風,也終於可以吃最愛的螃蟹了!
治療結束後李太太感動的心情不言而喻,原本缺少的牙齒補齊了,不用再擔心講話時會漏風,也終於可以吃最愛的螃蟹了!
此療程皆由醫生評估後,依照個人口腔狀況進行治療
每個人情況不同,實際情況須經由醫師專業評估而定
治療醫師

植牙專科/牙周專科 江明學 醫師
主治項目
All-on-4 一日全口重建
三合一牙周治療
DSD數位微笑設計全瓷貼片
微創導航植牙
舒眠治療
3D齒雕

