植牙手術案例
病患治療訴求:
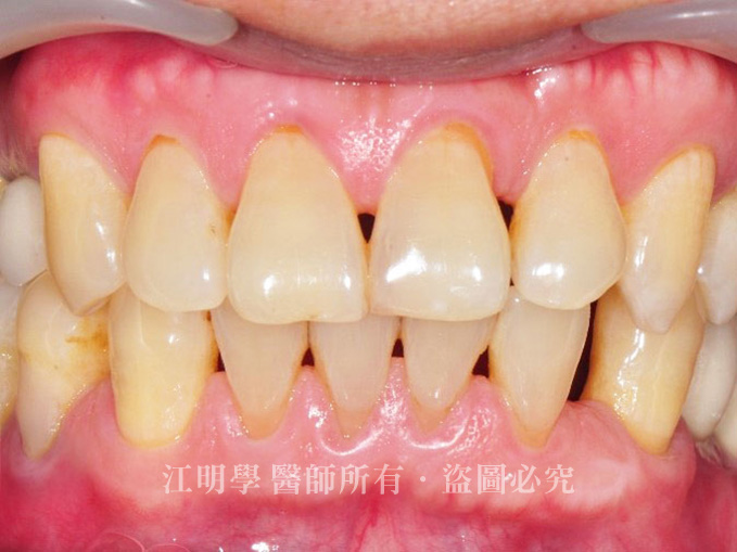
林先生因罹患嚴重牙周病,導致上顎第一小臼齒,下顎左邊及右邊的第二小臼齒、第一大臼齒喪失。因為後牙區為重要咀嚼功能區,造成吃東西很不方便。
林先生因罹患嚴重牙周病,導致上顎第一小臼齒,下顎左邊及右邊的第二小臼齒、第一大臼齒喪失。因為後牙區為重要咀嚼功能區,造成吃東西很不方便。
看看醫師怎麼說:
因牙周病造成牙骨萎縮、牙齒掉落。應先將牙周病治療完後再進行人工植牙重建,改善流失的齒槽骨地基,才能讓植牙更為長久穩固。
因牙周病造成牙骨萎縮、牙齒掉落。應先將牙周病治療完後再進行人工植牙重建,改善流失的齒槽骨地基,才能讓植牙更為長久穩固。
我有牙周病,還可以植牙嗎?
牙周病易掉牙,植牙前應先徹底治療!
運用牙周再生手術,讓牙周組織再生,並深層清潔牙周囊袋中級牙根表面的牙結石,讓口腔重拾健康狀態。
經評估後,首先拔除不可用的牙齒,透過軟組織再生手術改正植牙周圍牙齦型態與厚度,並利用再生膜幫助骨頭生長,恢復牙周的健康。
治療前:缺牙處周圍齒槽骨萎縮,導致牙齒脫落。
治療後:重建缺失的牙周組織,提高對牙齒的支撐力。
治療前:牙根蛀牙、咬合區缺牙。
治療後:恢復正常咬合功能,並達到美觀的目的。
植牙患者真實見證分享
治療醫師

植牙專科/牙周專科 江明學 醫師
主治項目
All-on-4 一日全口重建
三合一牙周治療
DSD數位微笑設計全瓷貼片
微創導航植牙
舒眠治療
3D齒雕

