牙周再生手術案例
您的牙齒有牙周病嗎 ? 您想要搶救您的牙齒嗎 ? 康澤牙醫診所有牙周病專科醫師江明學院長, 有超過百例的牙周再生手術經驗. 不想拔牙後換假牙或是植牙的病人, 請接受牙周再生手術治療吧 !!






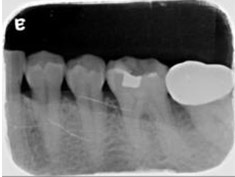
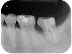
牙周初診時患者之口內觀。口內明顯牙菌斑及牙結石堆積。全口嚴重牙齦紅腫。治療前X光片。#37的近心側有較深的骨內缺損,剩餘齒槽骨高度只有20%。


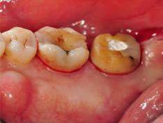
第一階段牙周基本治療後,牙齦發炎狀況明顯獲得改善。
A
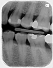
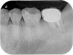
A圖為#37根管治療完後的三個月放射線攝影根尖片。
B
B圖為牙齦溝內切線合併牙齦下切線與垂直鬆弛性切線。
C
C圖為牙齦溝內切線合併牙齦下切線與垂直鬆弛性切線。
D
D圖為牙齦翻瓣清創後之頰側觀,#37其近心側有一寬且深,深達9毫米,型態為三壁之骨內缺損(three walls intrabony defect),頰側之根叉並無侵犯。
E
E圖為牙齦翻瓣清創後之舌側觀,其近心側繞舌側有一寬且深,深達5毫米,型態為合併雙壁、三壁之骨內缺損(combined two-three walls intrabony defect),舌側之根叉侵犯為1毫米。
F (左圖) / G(右圖)
F、G圖為DFDBA及膠原蛋白可吸收再生膜。
H
H圖為置放DFDBA於#37骨缺損處。
I
I圖為外側放置經適當裁切之膠原蛋白可吸收再生膜。
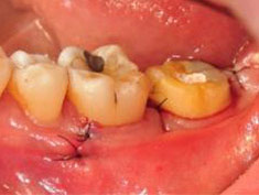
J
J圖為術後一級縫合。
K
K 圖為術後一級縫合。
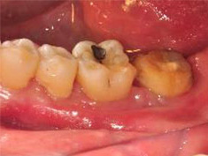
L
L圖為術後二週拆線之頰側觀。
M
M 圖為術後二週拆線之舌側觀。
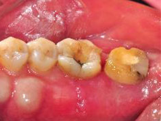
#37進行骨移植併用引導組織再生手術。






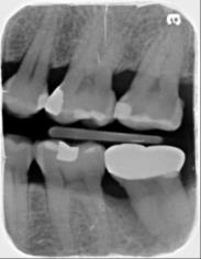
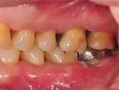
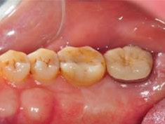
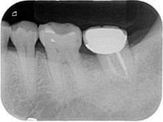
術後一年之全口X光片, #37近心側可見明顯骨充填與放射線密度增加。 牙周再生手術完成一年後追蹤,全口牙齦發炎狀況改善,牙周組織呈現健康狀況。#37金屬燒附陶瓷牙冠製作完成。
牙周再生手術 請找康澤牙醫診所
以上所有版權均屬於 江明學醫師
聲明: 本所療程皆由專業醫生評估後,依照個人口腔狀況進行治療。因每位患者個別狀況不同,術後狀況也不盡相同,需親來本所由醫生評估。