戽斗(地包天)案例的治療

治療醫師 : 矯正專科 穆慧英醫師
分類 : 戽斗、下顎前突、牙齒擁擠合併深咬
治療方式 : 利用迷你骨釘內收牙齒

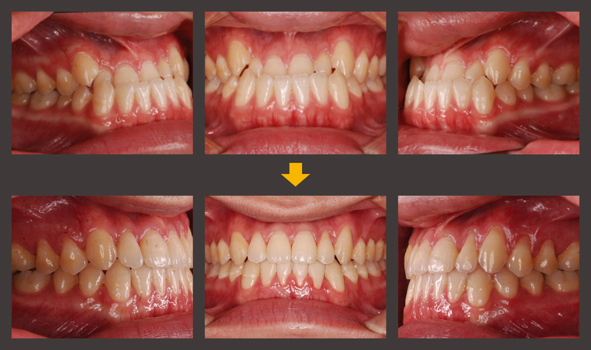
矯正前:前牙錯咬(地包天)、深咬
矯正後:下排牙齒內收、咬合良好
矯正前:前牙錯咬(地包天)、深咬
矯正後:下排牙齒內收、咬合良好
矯正前:上排前牙內凹、不整齊
矯正後:牙弓弧度良好、排列整齊
矯正前:下唇外突
矯正後:下唇和諧
矯正後:微笑時看不到上排門牙
矯正後:看得到門牙、良好的微笑曲線
矯正後:下唇外翻、下巴前突
矯正後:下唇內收

這位客戶主要想改善戽斗及排列不整齊的問題,檢查分析後發現除了戽斗外,同時有相當程度的深咬,這兩個問題使得客戶在微笑時無法露出上排門牙,當然也就沒有大家都想要的擁笑曲線。這類案例的理想治療方式為齒顎矯正配合正顎手術,才能讓外觀達到最大量的改善,但在檢查後發現,這位客戶可以將下巴擺在更後縮的位置,因為客戶不想手術,所以在充分溝通後,決定利用拔除智齒的空間將下排牙齒整體向內收。

 

拔除智齒後利用迷你骨釘將下排牙齒內收以改善戽斗

由於客戶可以將下巴擺在更後縮的位置,以及有長得很好的智齒,這兩個條件是此案例可以只拔智齒就能做好的關健因素。若下巴完全無法再後縮的戽斗案例,則需要配合正顎手術的機率將大大提升。另外,若智齒長得很好,則表示拔除後有足夠的空間將整體牙齒向內收。

 

讓下巴向後向下旋轉可以有效改善戽斗的臉型

此類案例,因沒有配合正顎手衛,矯正完仍顯下巴前突,在治療過程中盡量將下巴向後向下旋轉可以讓下巴看起來更小更後縮。但若在治療前就屬長臉型,則不適合這樣做,所以每一個案例都需要專科醫師全面評估後,才能量身訂制出專屬的治療計劃。

 

改善深咬後就可以給客戶一個燦爛的笑容

矯正前微笑時無法露出上排門牙,讓客戶覺得很沒有自信。矯正過程中將下排門牙內收以及將上排門牙排齊並向下拉出後就可以還客戶一個迷人的笑容囉~



聲明: 本所療程皆由專業醫生評估後,依照個人口腔狀況進行治療。因每位患者個別狀況不同,術後狀況也不盡相同,需親來本所由醫生評估。