下巴和前牙錯咬問題
患者第一次諮詢評估時,就表明自己露齒笑的時候,下排牙齒較為突出,上排牙齒幾乎被遮蔽住,希望能夠透過矯正的方式改善。
看過口腔情況後,發現有嚴重的下巴和前牙錯咬問題,經過數位口掃分析後診斷,其錯咬的原因是來自於上下顎骨發育上的差異,下顎偏移造成咬合異常。
看過口腔情況後,發現有嚴重的下巴和前牙錯咬問題,經過數位口掃分析後診斷,其錯咬的原因是來自於上下顎骨發育上的差異,下顎偏移造成咬合異常。
.jpg)
長期咬合不正,會加速牙齒的磨損,甚至容易對顳顎關節和下顎骨有不良的影響!
因此若有錯咬問題,通常會強烈建議立即矯正!
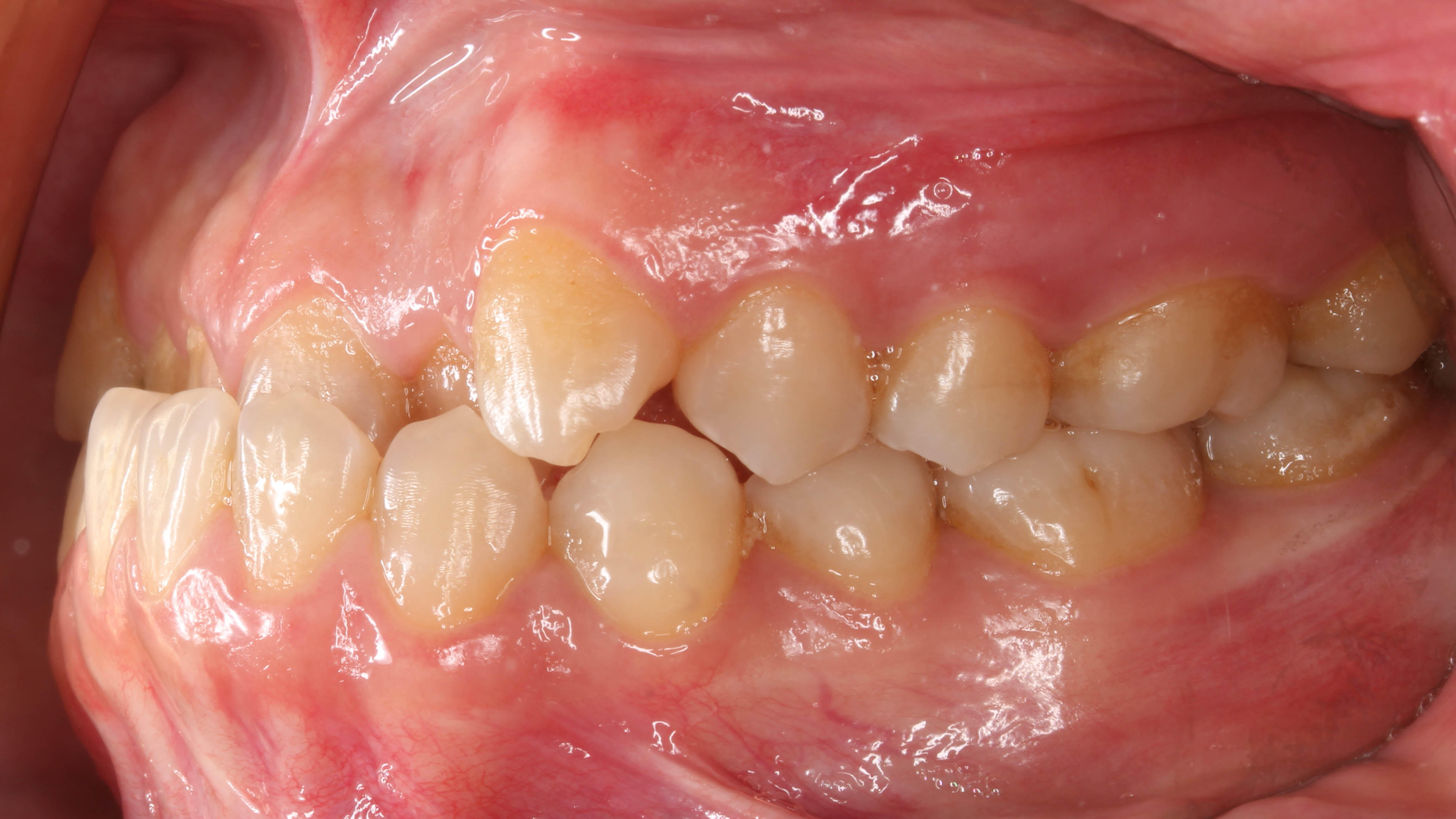
矯正前,牙齒閉合時,上排門牙幾乎被下排遮蔽
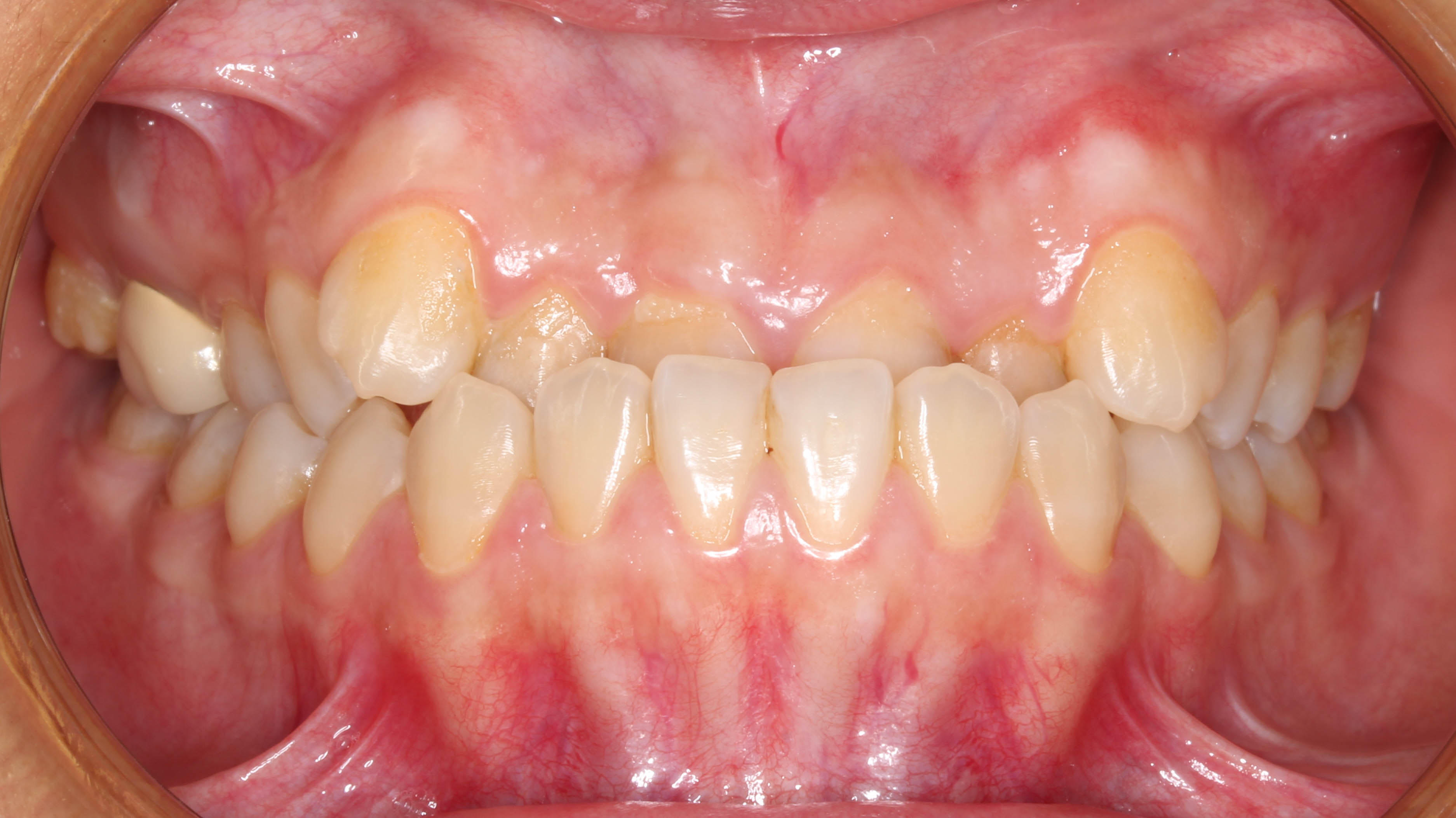
矯正後,將下排牙齒往內縮,讓錯咬的前牙問題改正
拔除四顆智齒改善咬合
排列空間過於擁擠,導致上顎門牙、虎牙旋轉等現象,因此在訂定治療計畫時,決定拔除四顆智齒,以免日後影響其他牙齒位置及健康。
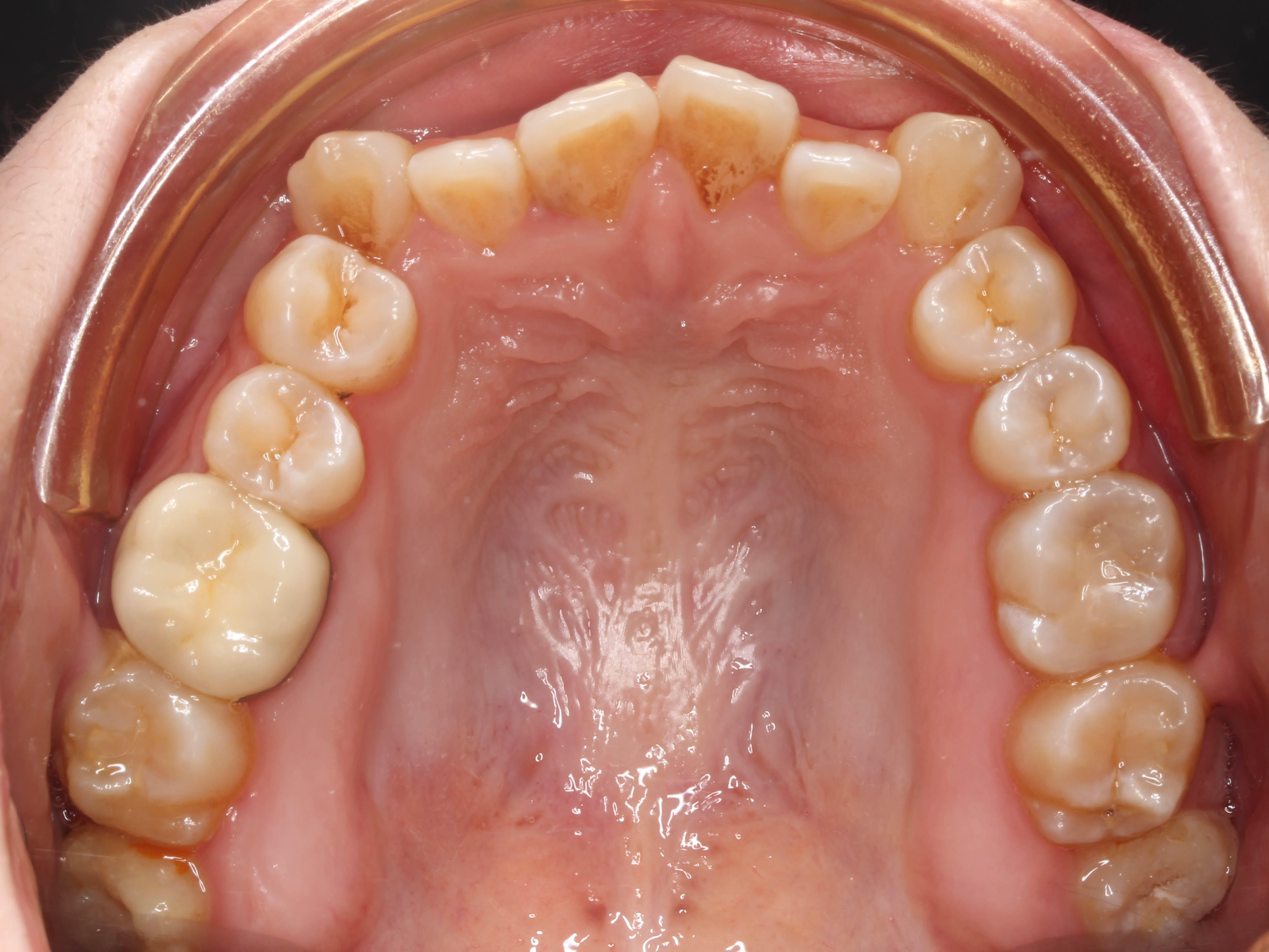
矯正前,上顎前牙有擁擠、旋轉的問題
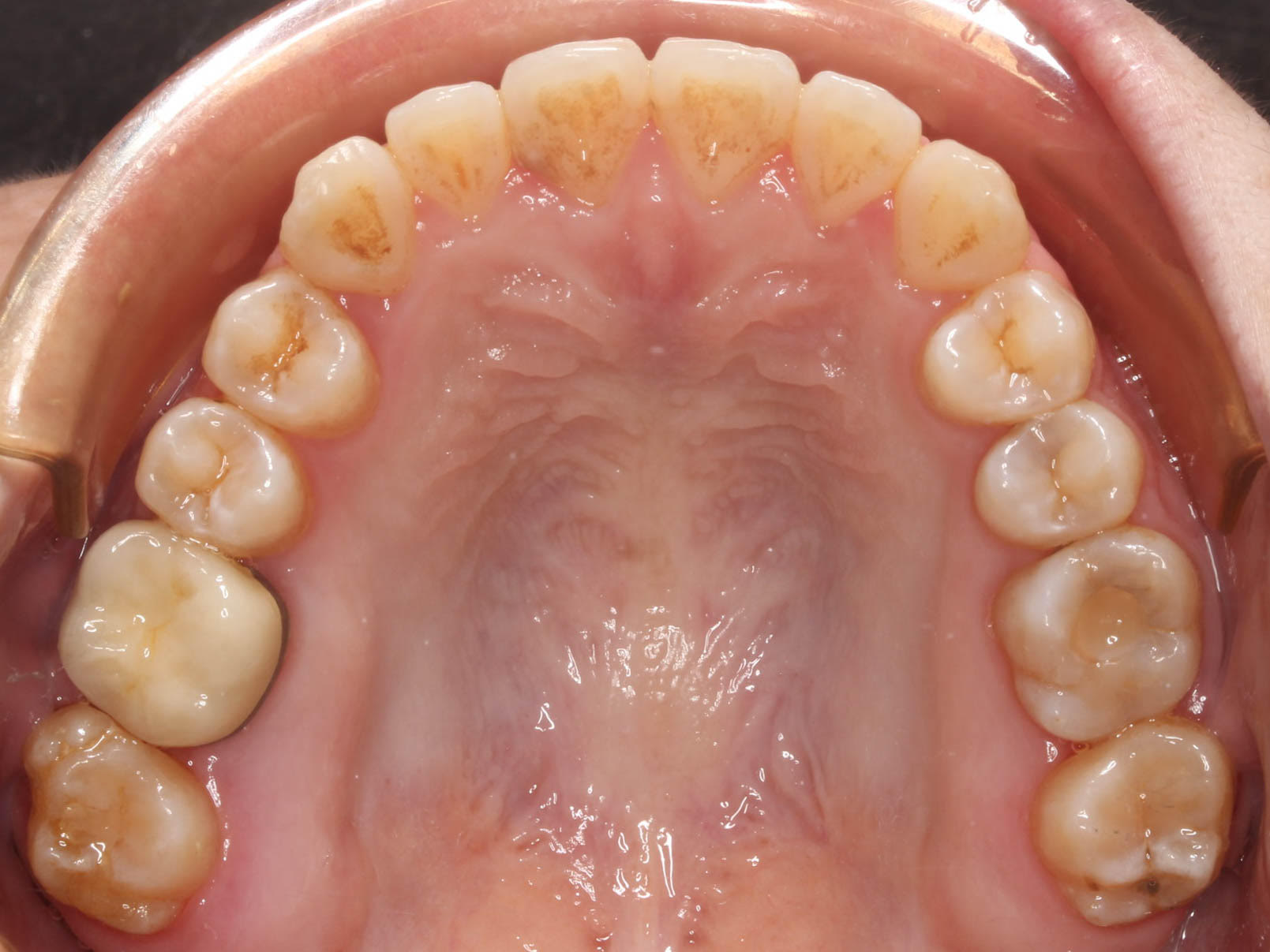
矯正後,美觀與咬合均符合患者的期待
矯正前,側面會有明顯的凹陷弧度
矯正後,牙齒修正至正常咬合位置
不需要做正顎手術
因患者上下顎骨的差距不會太大,不需要做正顎手術,錯咬問題靠牙齒矯正也能有良好改善。
此療程皆由醫生評估後,依照個人口腔狀況進行治療,
每個人情況不同,實際情況須經由醫師專業評估而定。
治療醫師

齒顎矯正專科 李欣頻 醫師
主治項目
- 隱形矯正
- 成人矯正與青少年矯正
- 3D齒雕
- 擬真顯微補牙
- 全瓷牙冠
- 微笑美學