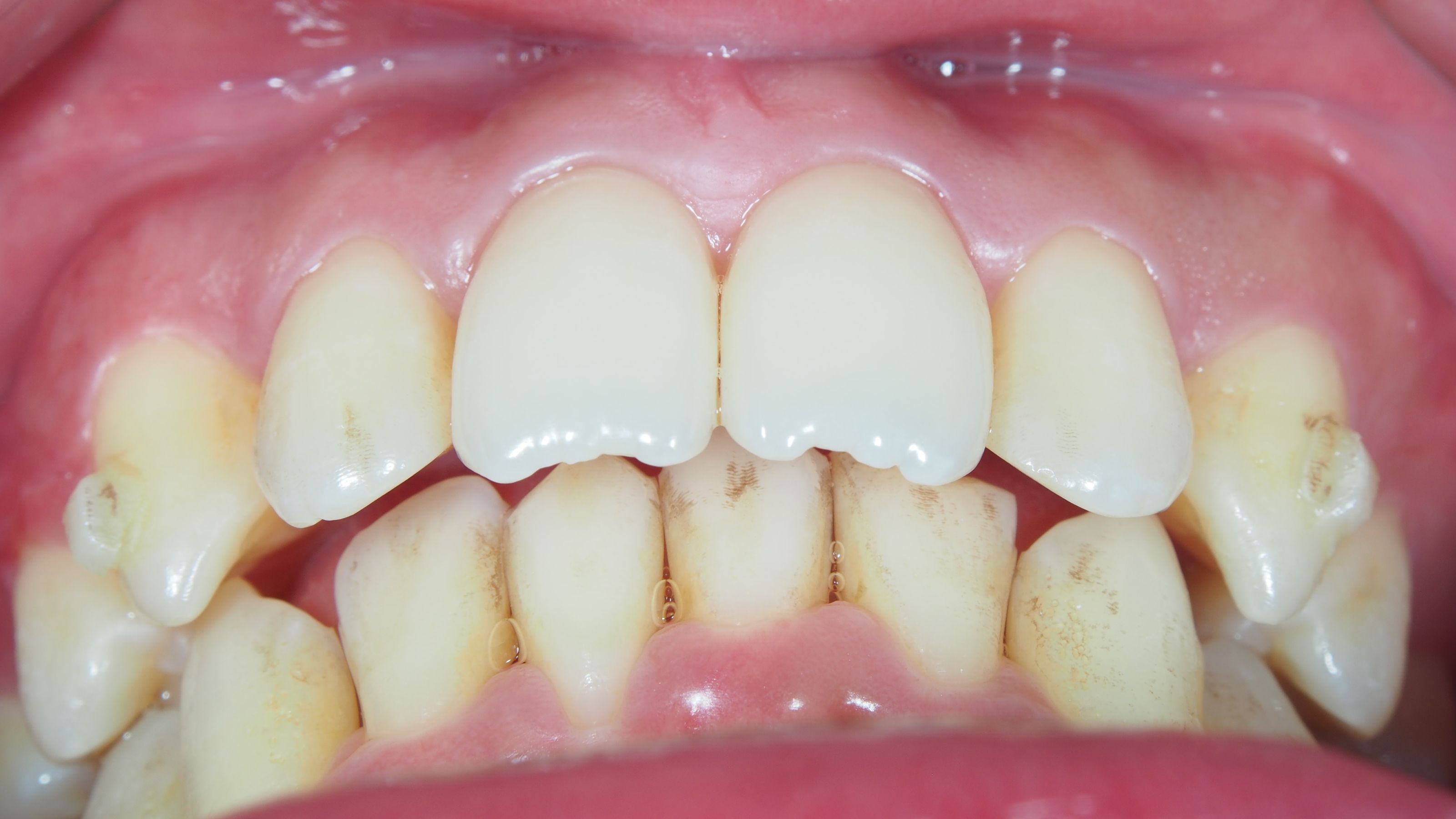
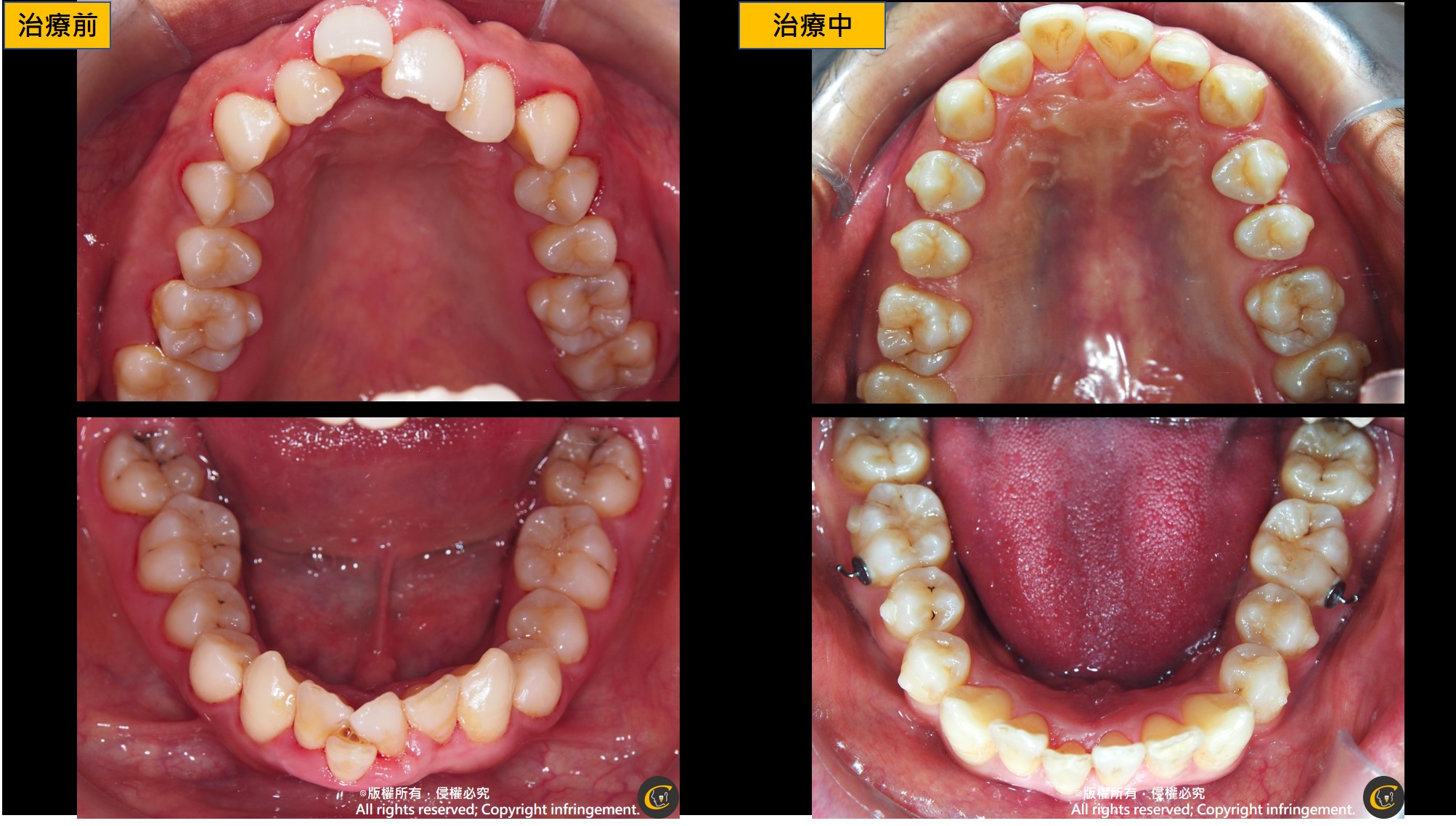
利用隱適美改善深咬的案例
因為嚴重不整齊的深咬案例
感謝病人認真的配戴牙套,才一年多的時間,我們使用隱適美牙套將牙齒慢慢拉回整齊的樣子了!

運用數位模擬軟體與您一起預見完美微笑! 專門為了牙齒矯正而設計的軟體,並不是只有牙齒會移動而已,再配合上醫師的想法去制定治療計畫,才能打造專屬您的完美笑容。
點擊影片連結,了解如何運用數位模擬軟體與您一起預見完美微笑:
https://www.youtube.com/watch?v=QqNd-4T6U8Y
聲明: 本所療程皆由專業醫生評估後,依照個人口腔狀況進行治療。因每位患者個別狀況不同,術後狀況也不盡相同,需親來本所由醫生評估。