自體牙移植

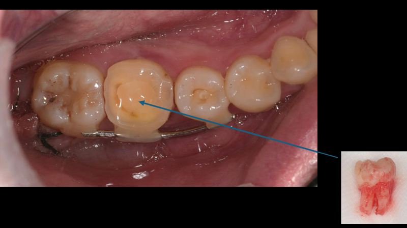
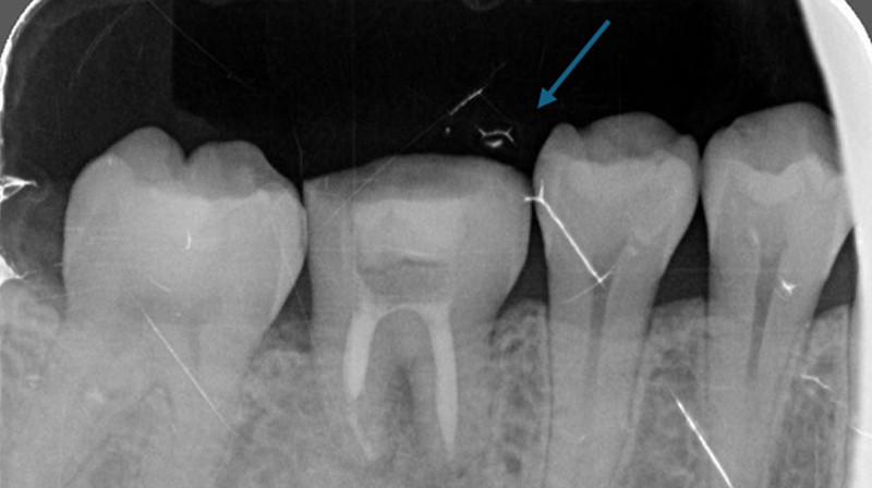
術前評估口腔狀況

 

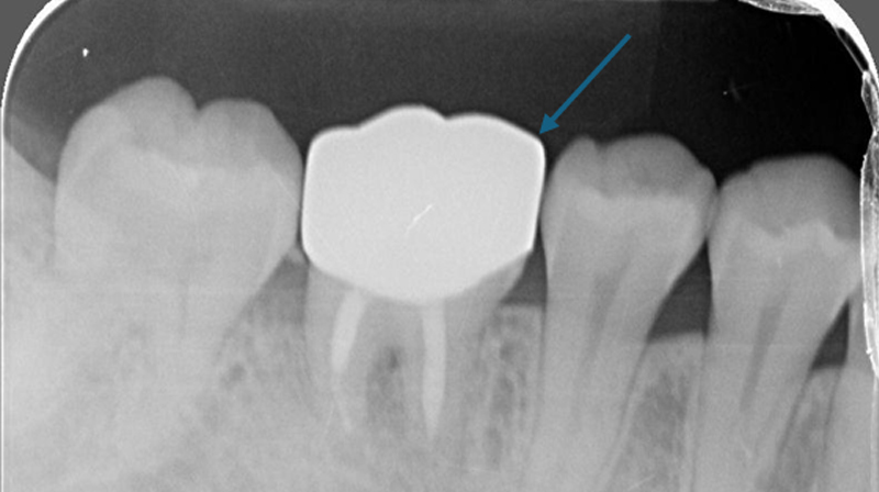
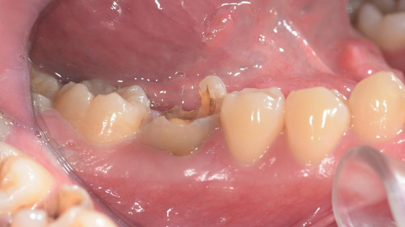
右下第一大臼齒斷裂

 

治療計畫

右下第一大臼齒拔除, 將右下智齒移植到缺牙區域

 
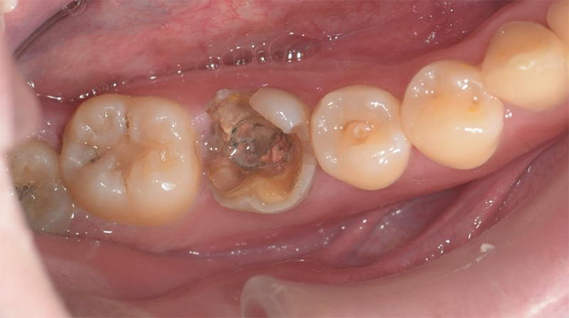
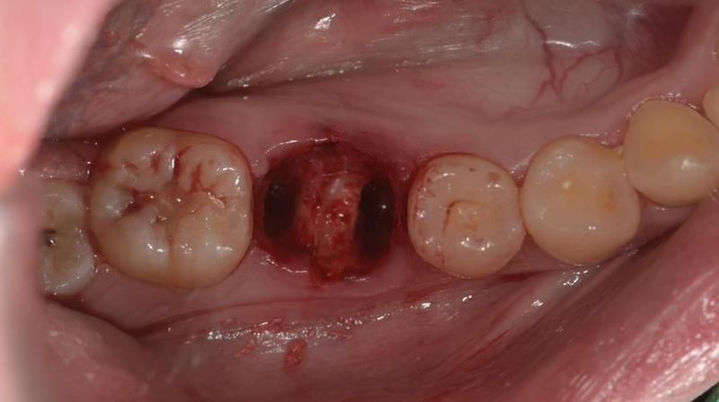
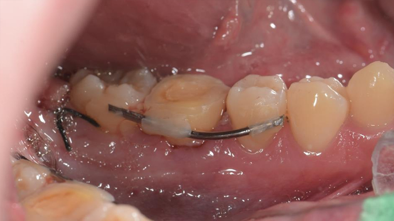
拔除右下第一大臼齒
 
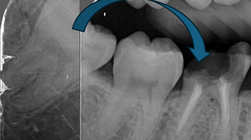
拔除智齒,固定至第一大臼齒缺牙區域

智齒固定

 

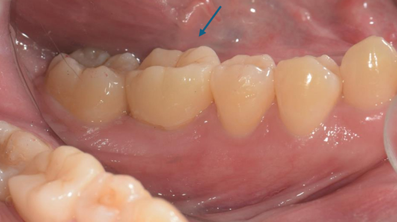
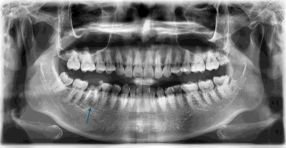
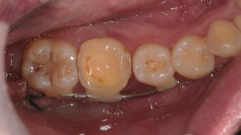
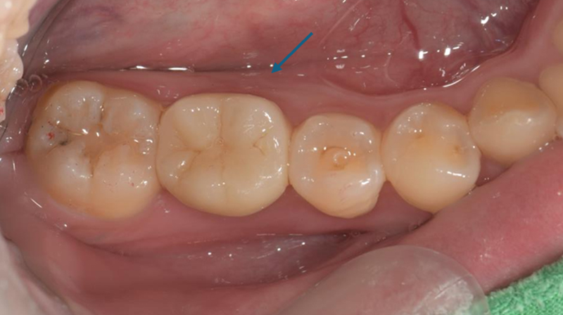
術後完成假牙裝戴

 

牙齒狀況改善

術前
術後
術前
術後

治療演進