牙橋修復治療案例
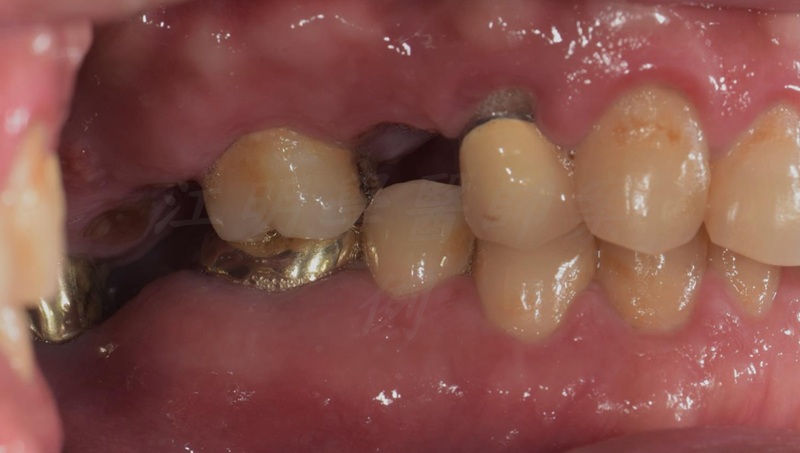
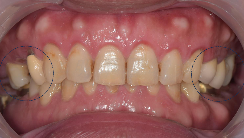
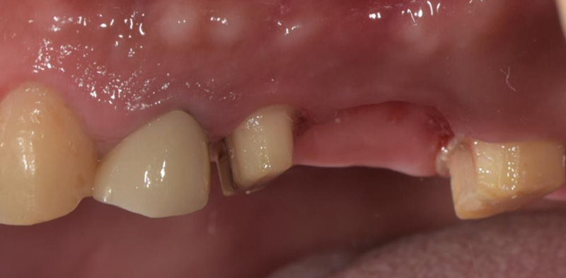
治療前
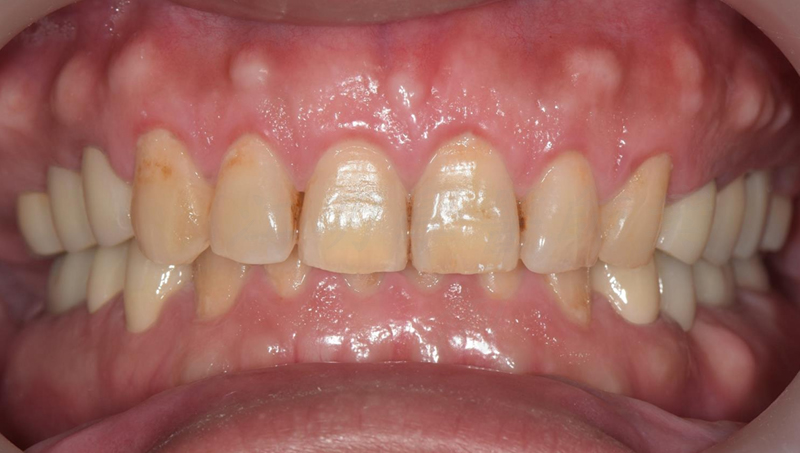
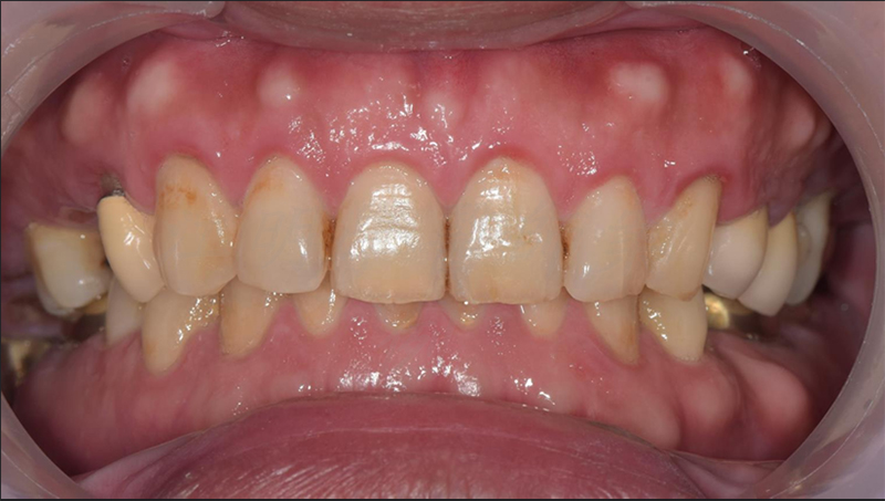
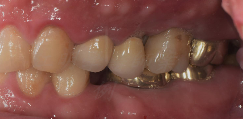
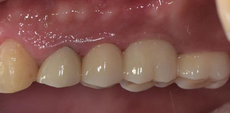
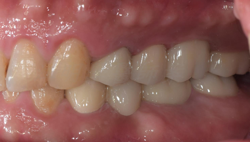
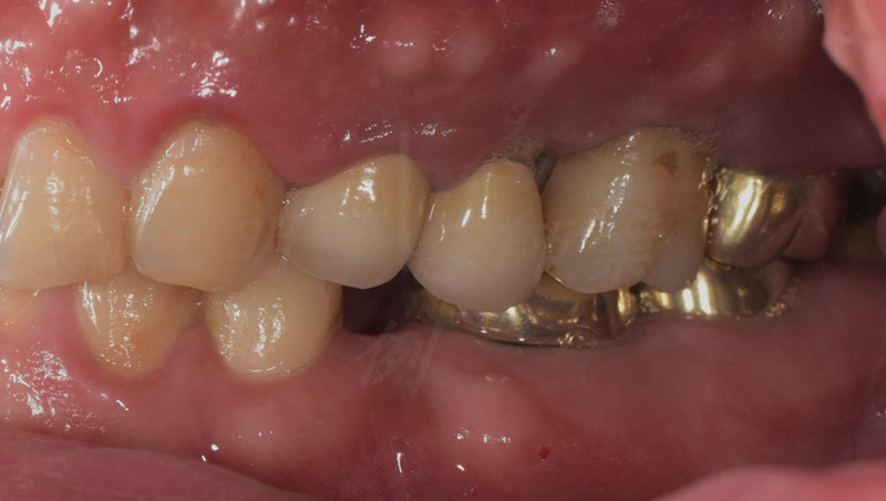
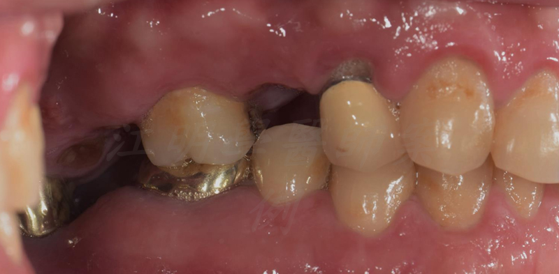
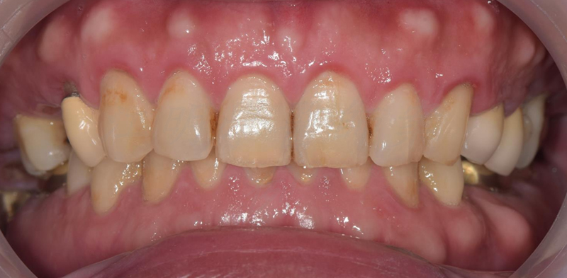
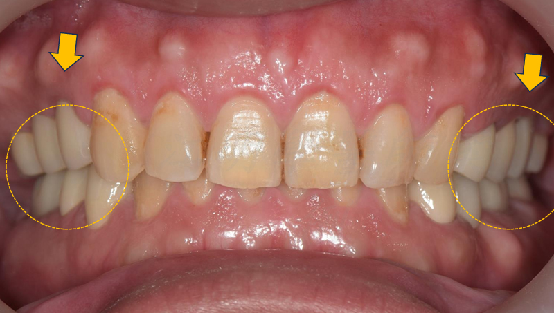
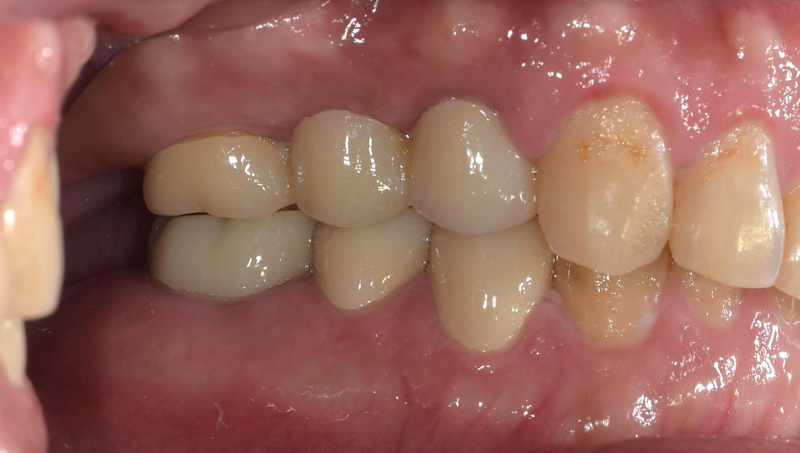
治療後
牙橋是一種復型治療,用於替代一顆或多顆缺失的牙齒。將假牙固定在空隙兩側的自然牙上,牙橋形成了一個“橋”以覆蓋空缺部位。
患者術前狀態
牙齒缺失
缺牙導致咬合不正
咬合不正
整體咬合狀態不理想
牙齒缺失
缺牙會無法咀嚼以及施力
牙橋修復治療優缺點
優點
- 外觀自然:尤其是瓷或陶瓷牙橋,與天然牙齒顏色相近。
- 功能性強:牙橋恢復了咀嚼功能,有助於正常進食。
- 製作快速:製作時間不超過14天。

缺點
- 對鄰牙的影響:需要磨削相鄰健康牙齒以便安裝橋體。
- 無法避免牙槽骨吸收:由於橋體只覆蓋表面,缺牙區域的牙槽骨會逐漸吸收。
- 無法清牙線:橋體下方可能積聚食物殘渣,增加蛀牙和牙周炎的風險。

牙橋的使用壽命牙橋的典型使用壽命為5到15年,但在良好的口腔衛生和定期牙科檢查的情況下,使用壽命可能更長。
牙齒狀況改善
治療前
治療後
治療前
治療後
治療前
治療後
治療前
治療後
治療前
治療後
治療前
治療後
治療前
治療後
治療前
治療後
治療前
治療後
治療前