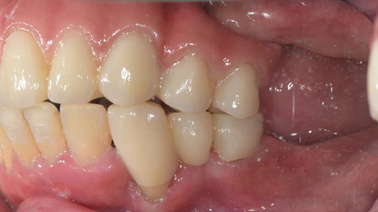
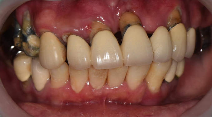
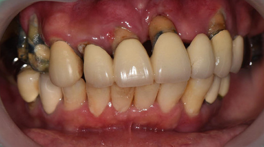
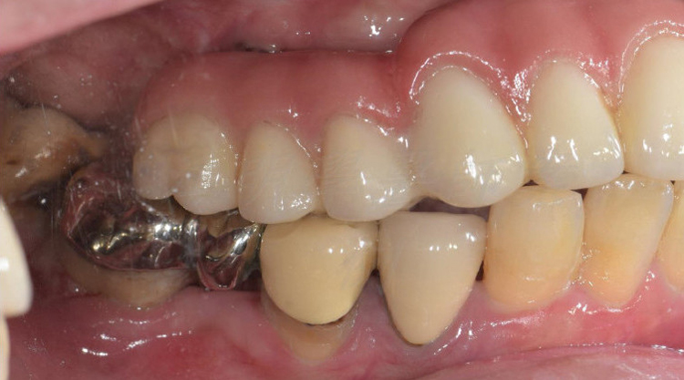
術前
蛀牙
蛀牙導致牙齒疼痛
牙周病
牙周病導致牙齦發炎和牙齒鬆動
牙齒缺失
缺牙會無法咀嚼以及施力
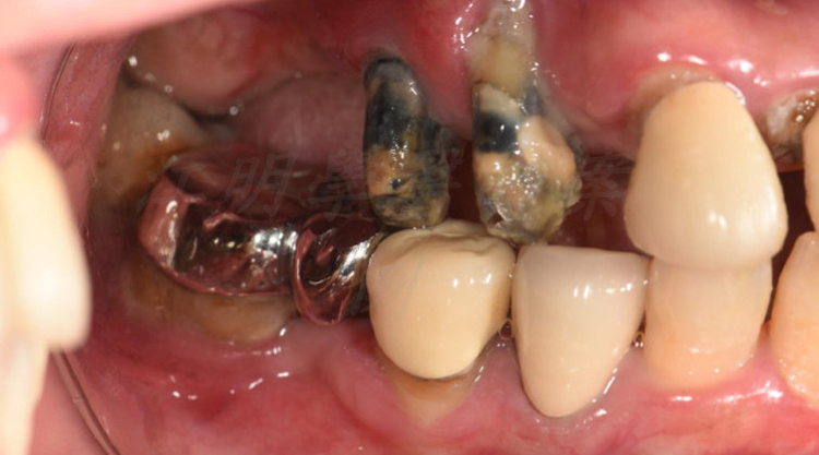
缺牙問題
- 無法咀嚼
- 影響社交
- 肌肉施力不平衡
制定計畫
- 初步評估
牙醫會進行全面檢查,制定數位微笑設計。 - 治療過程
根據患者需求進行各種治療,如補牙、植牙等。 - 恢復期
治療後需要一定時間恢復,並遵循醫生建議進行口腔護理。

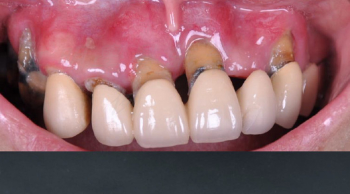
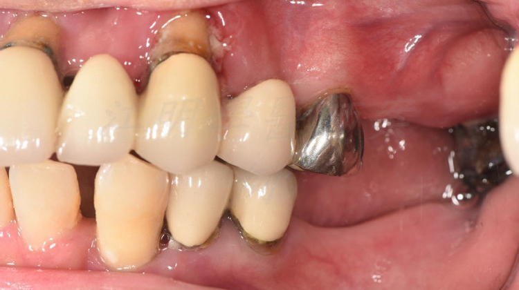
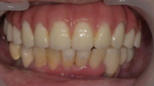
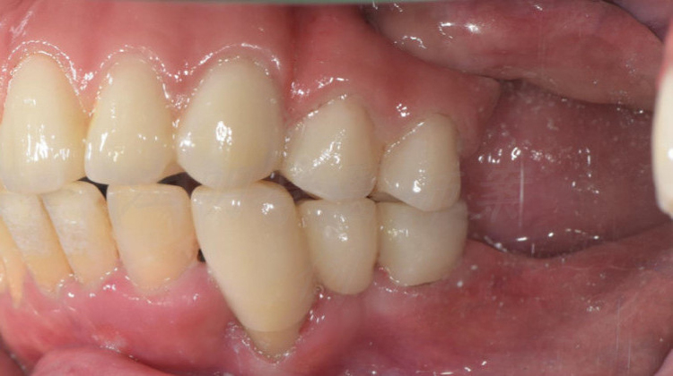
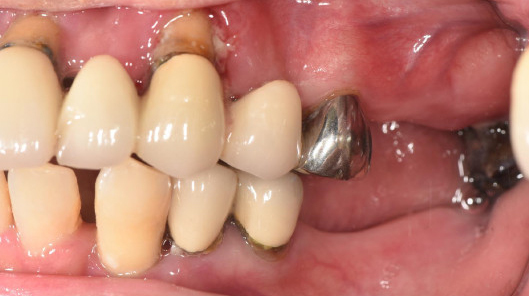
全口重建恢復咬合
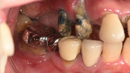
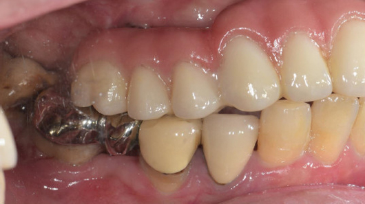
拔牙治療
拔牙治療,去除不能留下的牙齒
全口All on 4植牙及假牙修復
立即植牙。立即有假牙使用

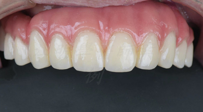
恢復自信笑容
- 恢復肌力
- 社交提升
- 改善咬合

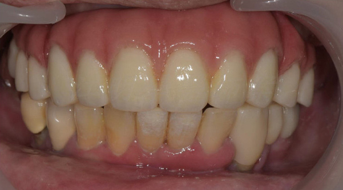
牙齒狀況改善
治療前
治療後
治療前
治療後
治療前
治療後
治療前
治療後
治療前
治療後
治療前
治療後
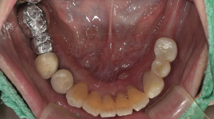
這些照片展示術後得到顯著改善,牙齒排列更加整齊、美觀,並達到理想的咬合狀態。
也恢復更自信的笑容。