全口重建-All on 4

牙齒狀況改善

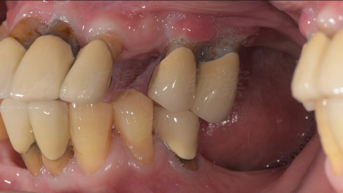
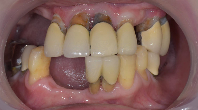
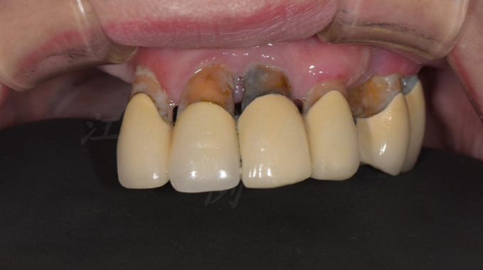
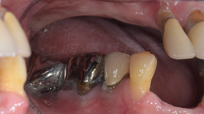
治療前
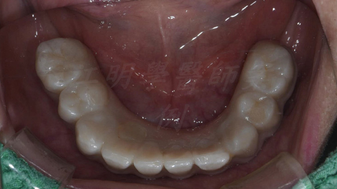
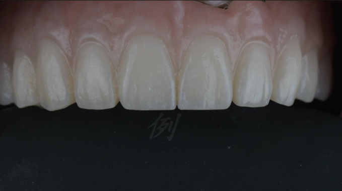
治療後
 
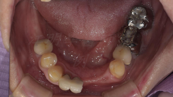
治療前
治療後
 
治療前
治療後
 
治療前
治療後
 
治療前
治療後
 
治療前
治療後
 
治療前
治療後
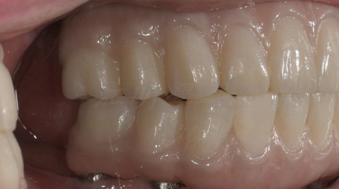
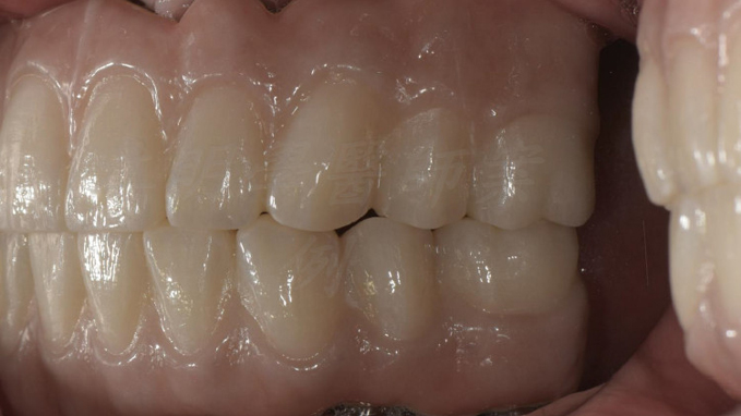
這些照片展示術後得到顯著改善,牙齒排列更加整齊、美觀,並達到理想的咬合狀態。
也恢復更自信的笑容。