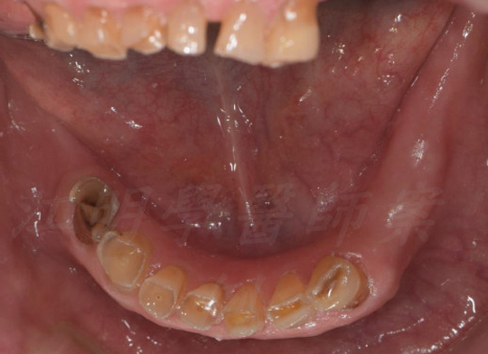
活動式假牙案例

牙齒狀況改善

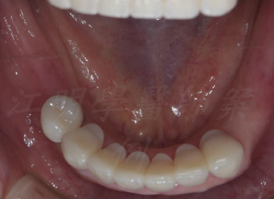
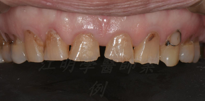
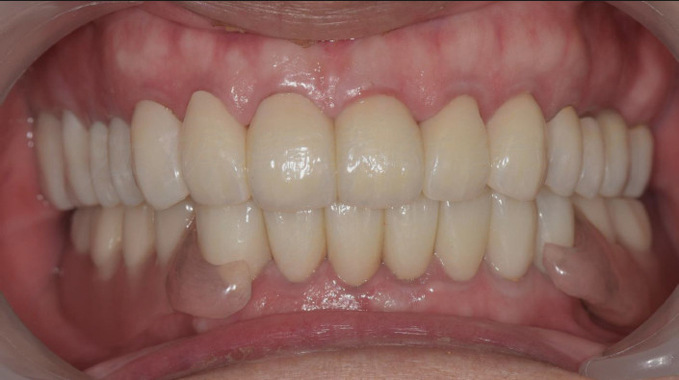
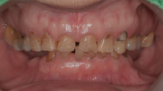
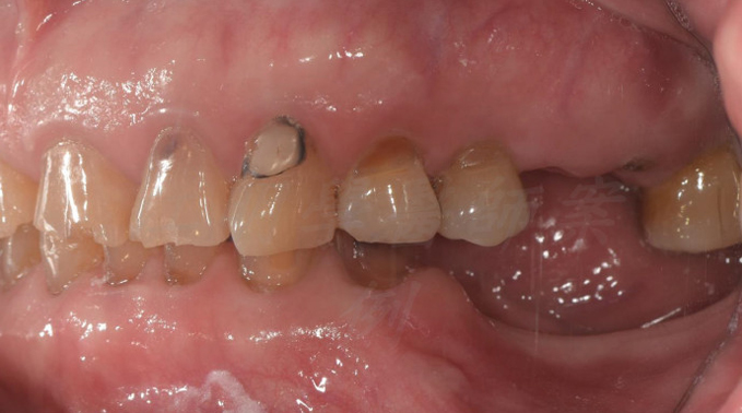
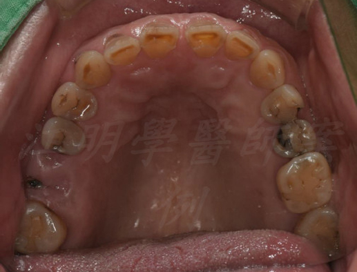
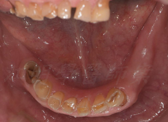
治療前
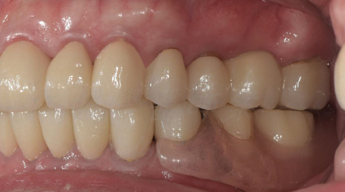
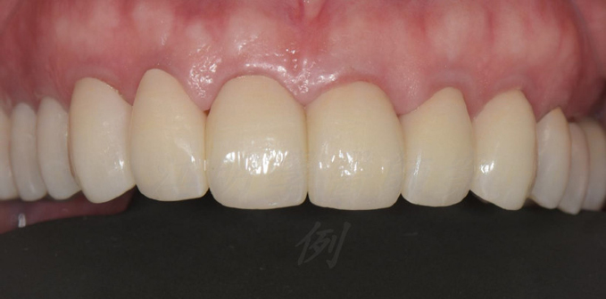
治療後
 
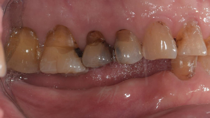
治療前
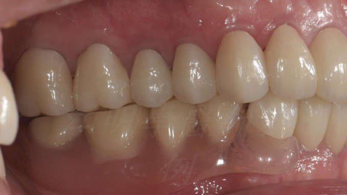
治療後
 
治療前
治療後
 
治療前
治療後
 
治療前
治療後
 
治療前
治療後
 
治療前
治療後
這些照片展示牙齒在術後得到顯著改善,排列更加整齊、美觀,並達到理想的咬合狀態。
也帶來更自信的笑容。