自體牙移植是什麼?
人工植牙的技術直至目前為止,已經非常地穩定,但是自然牙如果能留住,當然是最好的!請大家急著拔牙做植牙之前,要先想清楚「這顆牙齒已經沒救了嗎?」為了保留住病人的真牙,康澤牙醫就來和大家介紹自體牙移植
自體牙移植是一種很有效保存牙齒的方式,並且分為以下兩類
1. 第一類是蓄意再植
(如將牙齒拔起後, 在口外經過適當的治療, 再種回去)
2. 第二類就是將牙齒從一處拔除, 移植到另外一處
(譬如將智齒移植到因為蛀牙而拔除的第一大臼齒窩洞)
其實自體牙移植並不是人人都可以做的哦!
其中自體牙移植手術最重要的條件就是牙根的形狀,牙根最好是錐型,如果牙根是分岔的、或是有兩個以上牙根,做自體牙移植手術則較困難。
被植牙區域需要符合以下條件
會影響成功率的幾個關鍵因素
患者口腔清潔狀況、回診配合度
患者本身的恢復力(齒槽骨癒合不佳)
牙根長短 牙根吸收/沾黏 自體牙移植是怎麼做的呢?
1. 醫師會先將’口內多餘並且可用來植牙的牙齒’拔出
2. 在植牙區域的齒槽骨做出適應移植牙形狀的孔洞
3. 將1植入2並且等待傷口復原
4. 由於拔除後牙齒神經壞死,需要做根管治療
5. 因為移植牙的大小、咬合面不會和原被拔除牙完全相同,因此需要製做牙套,將牙齒保護起來
幾歲以上才能做自體牙移植手術?
植牙並沒有特定的年齡限制,主要是看患者自身條件是否符合 其實植牙不是成年人的專利,就算是發育中的牙齒也可以做移植,而且成功率還更高唷!
自體牙移植是一種很有效保存牙齒的方式,並且分為以下兩類
1. 第一類是蓄意再植
(如將牙齒拔起後, 在口外經過適當的治療, 再種回去)
2. 第二類就是將牙齒從一處拔除, 移植到另外一處
(譬如將智齒移植到因為蛀牙而拔除的第一大臼齒窩洞)
其實自體牙移植並不是人人都可以做的哦!
- 做自體牙移植的植牙牙齒必須符合以下條件
- 牙齒形狀
- 無蛀牙
- 牙齒無牙周病
- 無功能
其中自體牙移植手術最重要的條件就是牙根的形狀,牙根最好是錐型,如果牙根是分岔的、或是有兩個以上牙根,做自體牙移植手術則較困難。
被植牙區域需要符合以下條件
- 齒槽的寬度、深度需要足以容納植入的牙齒
- 無發炎狀態
- 無牙周病
會影響成功率的幾個關鍵因素
患者口腔清潔狀況、回診配合度
患者本身的恢復力(齒槽骨癒合不佳)
牙根長短 牙根吸收/沾黏 自體牙移植是怎麼做的呢?
1. 醫師會先將’口內多餘並且可用來植牙的牙齒’拔出
2. 在植牙區域的齒槽骨做出適應移植牙形狀的孔洞
3. 將1植入2並且等待傷口復原
4. 由於拔除後牙齒神經壞死,需要做根管治療
5. 因為移植牙的大小、咬合面不會和原被拔除牙完全相同,因此需要製做牙套,將牙齒保護起來
幾歲以上才能做自體牙移植手術?
植牙並沒有特定的年齡限制,主要是看患者自身條件是否符合 其實植牙不是成年人的專利,就算是發育中的牙齒也可以做移植,而且成功率還更高唷!
如有口腔問題,可尋求專業醫師幫助
及早喚回口腔的健康!
及早喚回口腔的健康!
常見缺牙治療比較
治療缺牙常見的方法有以下幾種
自體牙移植成功率大致上在8成上下,較一般植體植牙9成5成功率低。且五年內移植的自體牙鬆脫機率較高!
和牙橋比較
優點: 較好清潔 不需傷害健康的牙齒 可以利用到口腔內原本無用處的牙齒。
如果製做牙橋,需要修磨到缺牙處兩側的健康牙齒、且無法使用牙線清潔到每一顆牙齒,因此會增加蛀牙的風險 自體牙移植適合的對象,需符合條件較多,並不是人人都可以做的!
- 修磨臨牙做牙橋
- 人工植牙
- 自體植牙
自體牙移植成功率大致上在8成上下,較一般植體植牙9成5成功率低。且五年內移植的自體牙鬆脫機率較高!
和牙橋比較
優點: 較好清潔 不需傷害健康的牙齒 可以利用到口腔內原本無用處的牙齒。
如果製做牙橋,需要修磨到缺牙處兩側的健康牙齒、且無法使用牙線清潔到每一顆牙齒,因此會增加蛀牙的風險 自體牙移植適合的對象,需符合條件較多,並不是人人都可以做的!
缺點: 恢復時間較長、適合做此治療的人較少、成功率較低
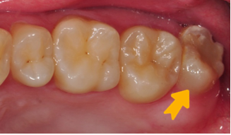
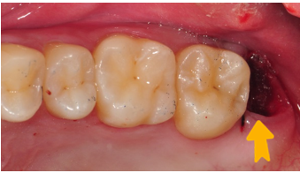
案例:將牙齒從一處拔除, 移植到另外一處
病患因牙根尖發炎,非常疼痛。由於該顆跟尖發炎牙齒從前已做過根管治療,無法再繼續使用,只能拔除。 經醫師評估後,該病患可以做自體牙移植手術,將口內有一顆無作用的智齒移植過來補這個位置。
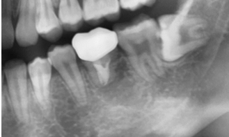
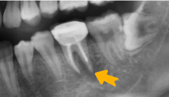
治療前:牙根尖發炎
治療前X光片
上排智齒-無作用
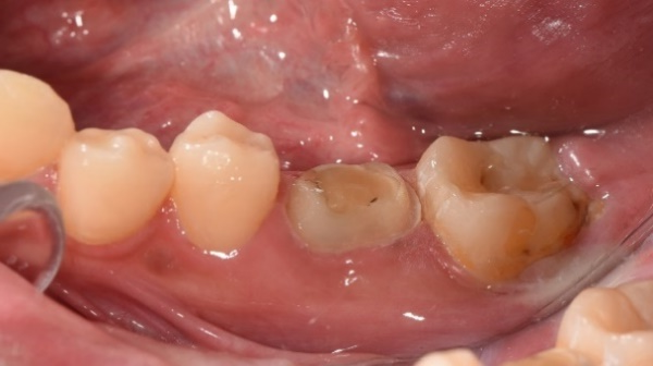
1.將上排智齒拔出
2.將智齒植入大臼齒位置,用鐵線固定
等待傷口恢復(約三個月)3.拆除固定鐵線、並將牙齒修型
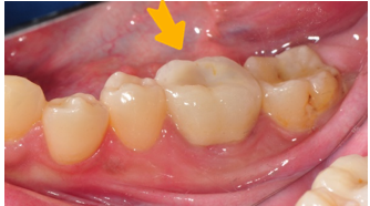
4.裝上假牙,完成治療
治療完成X光片
此療程皆由醫生評估後,依照個人口腔狀況進行治療
每個人情況不同,實際情況須經由醫師專業評估而定
治療醫師

植牙專科/牙周專科 江明學 醫師
主治項目
All-on-4 一日全口重建
三合一牙周治療
DSD數位微笑設計全瓷貼片
微創導航植牙
舒眠治療
3D齒雕

