全口重建治療

牙齒狀況改善

治療前
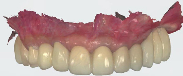
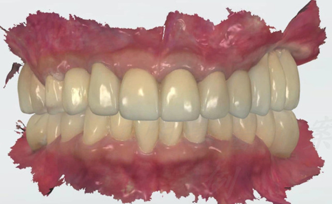
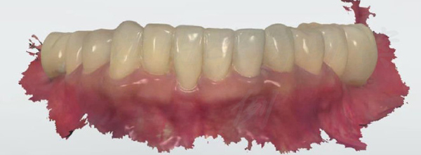
治療後
治療前
治療後
治療前
治療後
治療前
治療後
治療前
治療後
治療前
治療後
 
這些照片展示牙齒在術後得到顯著改善,排列更加整齊、美觀,並達到理想的咬合狀態。
也帶來更自信的笑容。