牙齒狀況改善
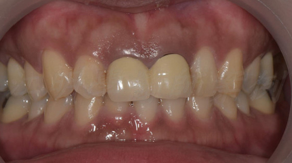
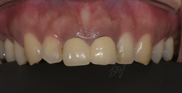
治療前
1.牙齒軸線不正確
2.假牙邊緣不密合
3.側門牙形狀不對稱
4.門牙牙齦線過低
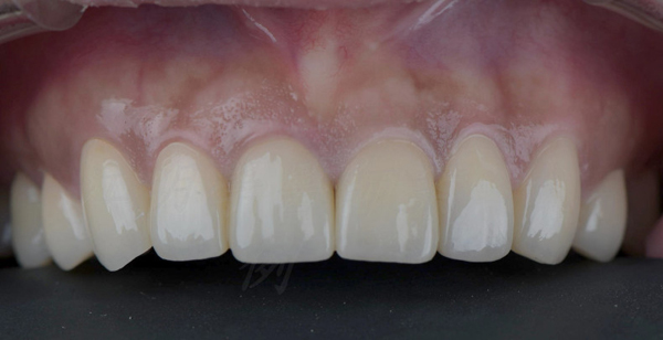
治療後
經過牙冠增長術,美白貼片治療,
牙齒變得更加整齊美觀,咬合也更加穩固。
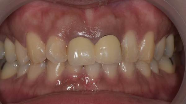
治療前
治療後
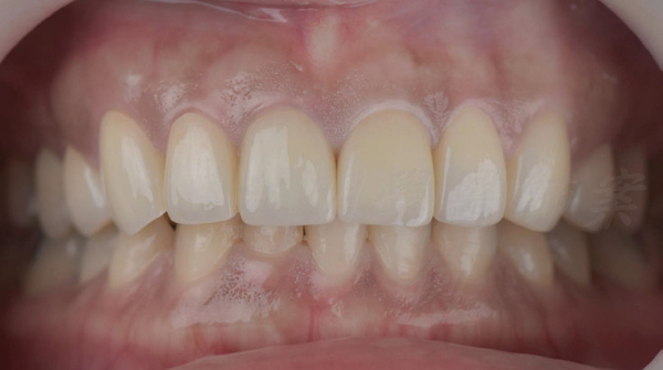
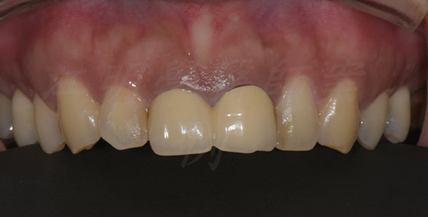
治療前
1.牙齒軸線不正確
2.假牙邊緣不密合
3.側門牙形狀不對稱
4.門牙牙齦線過低
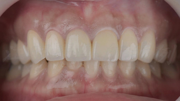
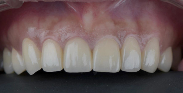
治療後
經過牙冠增長術,美白貼片治療,
牙齒變得更加整齊美觀,咬合也更加穩固。
治療前
治療後
治療醫師

植牙專科/牙周專科 江明學 醫師
主治項目
All-on-4 一日全口重建
三合一牙周治療
DSD數位微笑設計全瓷貼片
微創導航植牙
舒眠治療
3D齒雕