牙齒狀況改善
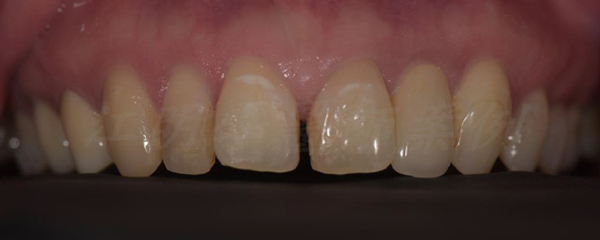
治療前
牙齒略有不整齊,咬合也有些許偏差。
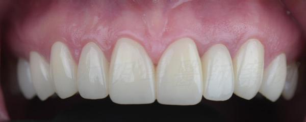
治療後
經過精心治療,牙齒變得更加整齊美觀,咬合也更加穩固。
微笑狀況改善
治療前
牙齒中線有縫,齒色略偏黃。
治療後
經過貼片治療,齒縫關起顏色也變自然白色,微笑也更加美麗。
治療醫師

植牙專科/牙周專科 江明學 醫師
主治項目
All-on-4 一日全口重建
三合一牙周治療
DSD數位微笑設計全瓷貼片
微創導航植牙
舒眠治療
3D齒雕