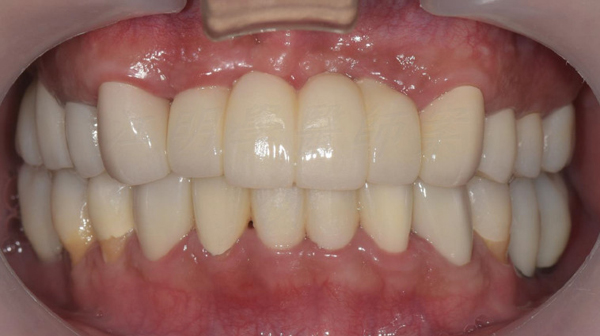
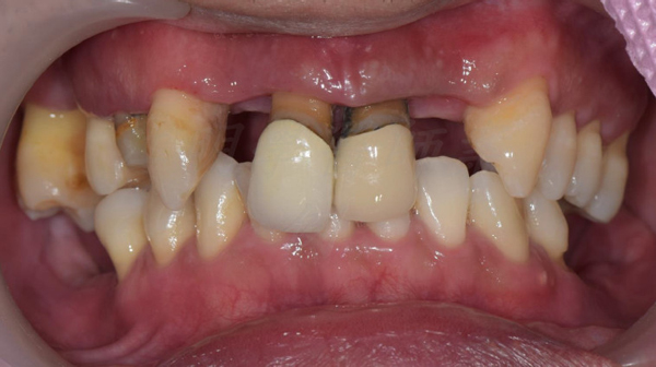
全口重建治療

牙齒狀況改善

治療前
治療後

微笑狀況改善

治療前
治療後
 
這些照片展示了您的牙齒在術後得到顯著改善,更加整齊、美觀,並達到理想的咬合狀態。
這不僅能增強您的口腔健康,也能為您帶來更自信的笑容。

治療醫師

植牙專科/牙周專科 江明學 醫師

主治項目

All-on-4 一日全口重建

三合一牙周治療

DSD數位微笑設計全瓷貼片

微創導航植牙

舒眠治療

3D齒雕