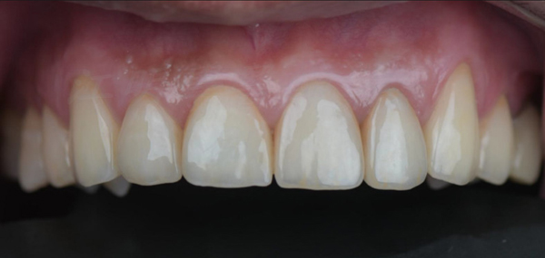
牙齒狀況改善
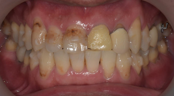
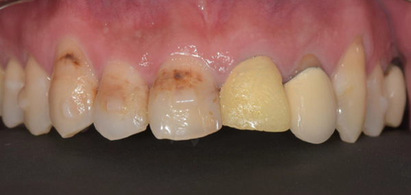
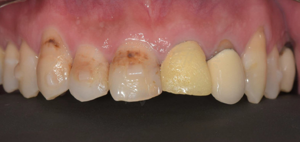
治療前
1.牙面上有色斑
2.有不合的假牙
3.牙齒顏色不對稱
4.咬合不對
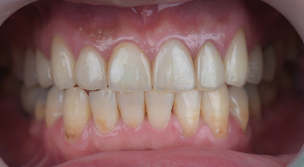
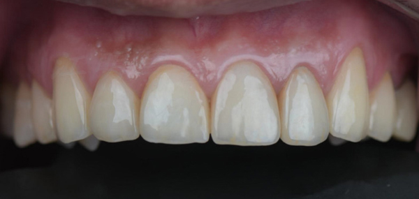
治療後
經過牙冠增長術,美白貼片治療,
牙齒變得更加整齊美觀,咬合也更加穩固。




這些照片展示了您的牙齒在術後得到顯著改善,更加整齊、美觀,並達到理想的咬合狀態。
這不僅能增強您的口腔健康,也能為您帶來更自信的笑容。
治療醫師

植牙專科/牙周專科 江明學 醫師
主治項目
All-on-4 一日全口重建
三合一牙周治療
DSD數位微笑設計全瓷貼片
微創導航植牙
舒眠治療
3D齒雕