美白貼片治療效果
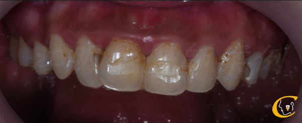
治療前
牙齒顏色泛黃。
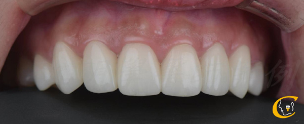
治療後
牙齒顏色變白且自然。
整體治療效果
治療前
牙齒可能存在各種問題,影響外觀和健康。
治療後
牙齒問題得以解決,功能和美觀都有了顯著提升。
治療醫師

植牙專科/牙周專科 江明學 醫師
主治項目
All-on-4 一日全口重建
三合一牙周治療
DSD數位微笑設計全瓷貼片
微創導航植牙
舒眠治療
3D齒雕