牙周問題嚴重,長期缺牙
醫師建議,All on 4+假牙贋覆
針對全口無牙、全口嚴重牙周病,牙齒嚴重搖晃的患者,建議做全口假牙。
做假牙除了最重要的恢復咀嚼功能之外,也能重建患者的自信!
全口假牙大致上分為四種
林小姐希望能夠做咬合力最好、且不希望是活動式的假牙,在醫師評估過後,建議做all on4全口假牙。
All on4單日即可完成手術
當日即可植入植體、製作假牙、裝戴,不需要有漫長的等待期,手術傷口小、復原也快。
All on4有什麼特色呢?
咬合力佳
和其他全口假牙相比,all on4/6是咬合力最好的,使用起來的感覺最接近自然牙。
價格較低
All on 4/6只需要植入4或6支植體,相比傳統全口單顆植牙植體較少,價格相對較低。
等待時間短 且不須補骨
植體會避開骨頭條件較差的位置,植入在齒槽骨條件較好的地方,因此不需要補骨,無漫長的等待期。
術後需要注意
假牙和一般牙齒一樣,也是會蛀牙的哦~治療完成後,除了平時的保養及清潔之外,也需要依照醫師的指示定期回診追蹤假牙的狀況,以確保假牙能夠維持最良好的狀態、延長使用年限。
做假牙除了最重要的恢復咀嚼功能之外,也能重建患者的自信!
全口假牙大致上分為四種
- All on 4/6
- BPS吸附式義齒
- 覆蓋式活動假牙
- 傳統活動假牙
林小姐希望能夠做咬合力最好、且不希望是活動式的假牙,在醫師評估過後,建議做all on4全口假牙。
All on4單日即可完成手術
當日即可植入植體、製作假牙、裝戴,不需要有漫長的等待期,手術傷口小、復原也快。
All on4有什麼特色呢?
咬合力佳
和其他全口假牙相比,all on4/6是咬合力最好的,使用起來的感覺最接近自然牙。
價格較低
All on 4/6只需要植入4或6支植體,相比傳統全口單顆植牙植體較少,價格相對較低。
等待時間短 且不須補骨
植體會避開骨頭條件較差的位置,植入在齒槽骨條件較好的地方,因此不需要補骨,無漫長的等待期。
術後需要注意
假牙和一般牙齒一樣,也是會蛀牙的哦~治療完成後,除了平時的保養及清潔之外,也需要依照醫師的指示定期回診追蹤假牙的狀況,以確保假牙能夠維持最良好的狀態、延長使用年限。
說明完以上內容及各項做法的差別
C先生直接選擇了All ON 4的作法,希望能有如原生齒般的正常咬合,不想要活動假牙拆來拆去的麻煩,
那接下來我們就開始囉!!!
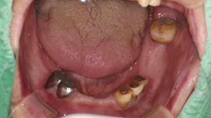
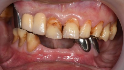
全口嚴重牙周病患者
術前上顎
術前下顎
治療前:全口牙周病嚴重,牙根外露、牙齦萎縮、蛀牙、牙齒歪斜、搖晃,咬合面磨耗嚴重。
術後上顎
術後下顎
治療後 : 裝上all on 4假牙後,自然舒適、恢復正常咀嚼功能
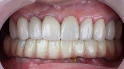
治療前正面
治療後正面
患者心聲
C先生在當天手術完成後表示非常開心,雖然當天還不太能吃太硬的食物,但是假牙在使用上完全沒有問題! 能開口大笑, 有一口潔白皓齒,而且功能完全正常,再也不怕有什麼美食無法征服!!!
C先生表示很感謝江醫師細心、有耐心的講解溝通及治療,做完手術覺得錢花得很值得~
之後每三個月都有乖乖地按照醫師叮嚀,定期回診追蹤,牙齒狀況良好。
.jpg)
.jpg)
此療程皆由醫生評估後,依照個人口腔狀況進行治療
每個人情況不同,實際情況須經由醫師專業評估而定
治療醫師

植牙專科/牙周專科 江明學 醫師
主治項目
All-on-4 一日全口重建
三合一牙周治療
DSD數位微笑設計全瓷貼片
微創導航植牙
舒眠治療
3D齒雕

