前牙美學-前牙嚴重蛀牙案例
不知道做完成果如何? 江醫師模擬給你看!
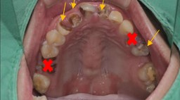
任何治療都必須做審慎評估,表面看見的問題不代表全部。 例如這位陳先生主訴是想門牙做假牙+恢復正常咬合功能。 但檢查做完之後原來沒有想像中容易,牙周/深度齲齒/根管…….等問題一一浮現,要打好基礎,有好的根基才能有穩固的建築。
當蛀牙較深,影響到牙隨導致發炎,或者牙裂、嚴重牙周病、牙根吸收等等情況時,就會需要做根管治療。根管治療除了可以保留原有的牙齒、還可以避免拔牙後,需花費更多的時間及金錢做植牙。。
根管治療後牙齒會變得較脆弱,因此需要套上牙套以保護牙齒,這邊建議陳先生可以選擇全瓷冠,能解決傳統金屬牙冠較不自然的問題。 經過充分溝通,擬定治療計畫如下:
1. 殘根+智齒拔除
2. 蛀洞太大的牙齒根管治療+假牙
3. 缺牙空間做牙橋
4. 前牙做牙冠增長術修飾
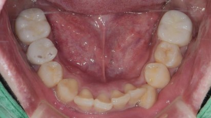
術前術後口內模擬
當蛀牙較深,影響到牙隨導致發炎,或者牙裂、嚴重牙周病、牙根吸收等等情況時,就會需要做根管治療。根管治療除了可以保留原有的牙齒、還可以避免拔牙後,需花費更多的時間及金錢做植牙。。
根管治療後牙齒會變得較脆弱,因此需要套上牙套以保護牙齒,這邊建議陳先生可以選擇全瓷冠,能解決傳統金屬牙冠較不自然的問題。 經過充分溝通,擬定治療計畫如下:
1. 殘根+智齒拔除
2. 蛀洞太大的牙齒根管治療+假牙
3. 缺牙空間做牙橋
4. 前牙做牙冠增長術修飾
術前外觀
術後外觀模擬
術前術後口內模擬打好地基->牙周以及根管治療
製作假牙之前,需要先處理:
補牙及根管治療需要多次回診,何況是多顆治療,
再加油一點,按時回診!! 我們陪你一起唷!!
- 將殘根+智齒拔除
- 牙周治療(也需患者配合良好的刷牙習慣)
- 根管治療


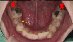
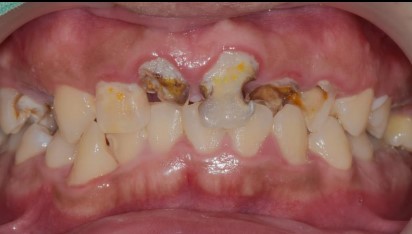
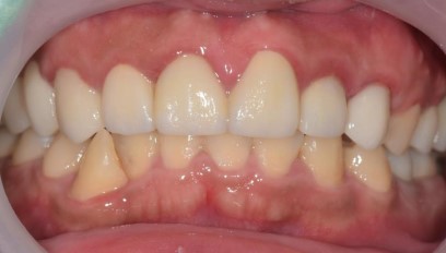
治療前:前牙蛀洞大,牙齦發炎,殘根,小臼齒蛀牙深,牙齒變色。
補牙及根管治療需要多次回診,何況是多顆治療,
再加油一點,按時回診!! 我們陪你一起唷!!
假牙復型
.jpg)
.jpg)
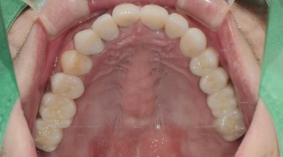
治療後 :套上假牙套+無牙根缺牙處靠牙橋復型,洗牙減緩牙齦發炎
牙根穩固了,牙周健康了,猶如樹根穩穩地抓住肥沃土壤,樹木自然能成長茁壯!!! 套上牙套調整咬合,恭喜您畢業了!!!!
患者見證
治療醫師

植牙專科/牙周專科 江明學 醫師
主治項目
All-on-4 一日全口重建
三合一牙周治療
DSD數位微笑設計全瓷貼片
微創導航植牙
舒眠治療
3D齒雕


.jpg)
.jpg)

.jpg)