戽斗+前牙錯咬+牙齦發炎+多顆假牙問題
病患治療訴求:
我的牙齒前面錯咬,笑起來明顯不整齊,也有假牙以及缺牙問題,想諮詢矯正把缺牙空間關起來,恢復前牙正常咬合!!!!
我的牙齒前面錯咬,笑起來明顯不整齊,也有假牙以及缺牙問題,想諮詢矯正把缺牙空間關起來,恢復前牙正常咬合!!!!
看看醫師怎麼說:
下排缺牙位置可以靠矯正關起來,省了一顆植牙的錢。但要矯正之前須要先處理好牙周,假牙問題。 讓我們矯正+牙周+假牙醫師相互配合吧!!!
下排缺牙位置可以靠矯正關起來,省了一顆植牙的錢。但要矯正之前須要先處理好牙周,假牙問題。 讓我們矯正+牙周+假牙醫師相互配合吧!!!
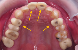
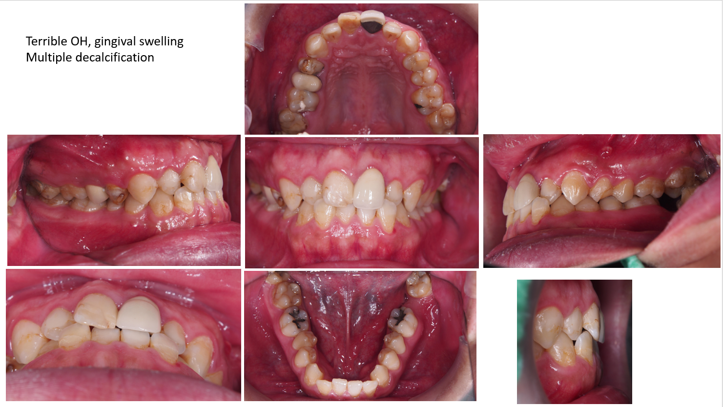
原來我有這麼多問題!?
牙周以及假牙的前置處理
進入矯正治療
臨時假牙更換完畢,再由矯正專科 穆慧英醫師 接手把牙齒排列完成。
治療前 :前牙錯咬,上下排齒列不整,蛀洞大,左下缺牙空間大。
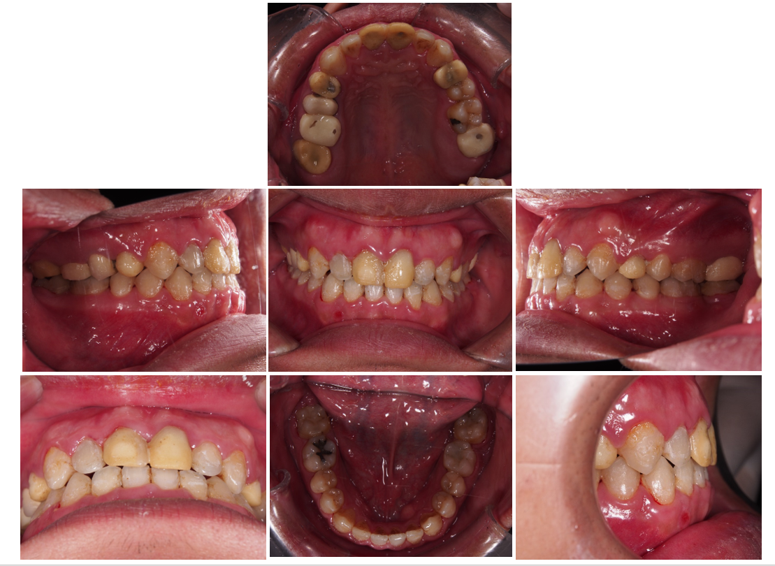
治療後 :左下缺牙空間靠矯正成功關起來,齒列整齊,前牙調整至正確咬合位置。
假牙及牙周收尾處理
齒列都已移動到正確位置,現在就可以收尾啦!! 來幫牙齒畫個妝。
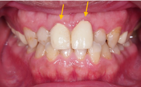
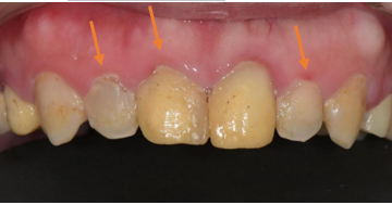
治療前:前牙臨時牙套顏色蠟黃,齒色不均。
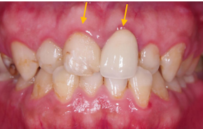
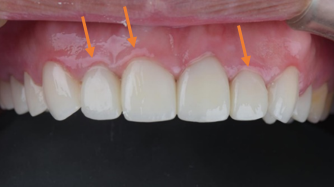
治療後 :牙冠增長術修整牙齦+貼片覆蓋,修飾牙齒形狀及顏色,
- 臨時假牙更換為固定的全瓷冠
- 前牙顏色不均+長時間錯咬導致門牙切端形狀不一。 做前牙貼片覆蓋,一口乾淨帥氣的白牙就出現啦!!!
- 前牙原錯咬,上排牙齦高低不一,做〖 牙冠增長術 〗 修飾牙齒形狀。
- 保持良好潔牙習慣
治療前:前牙臨時牙套顏色蠟黃,齒色不均。
牙齦覆蓋牙齒較多,笑齦。
治療後 :牙冠增長術修整牙齦+貼片覆蓋,修飾牙齒形狀及顏色,
笑齦改善,閃亮亮的白牙出現啦。
患者見證分享
前後真的差很多,除了咬合功能正常,現在我笑起來完全沒有顧忌。
牙齒門面要調整的功夫原來這麼多,覺得慶幸有及早來檢查評估,穆醫師及江醫師都非常專業,讓我不必來回奔波,一站式解決。
我要好好維持這副牙齒,辛苦的時間真的非常值得!!!!

.png)
此療程皆由醫生評估後,依照個人口腔狀況進行治療
每個人情況不同,實際情況須經由醫師專業評估而定
每個人情況不同,實際情況須經由醫師專業評估而定
治療醫師

植牙專科/牙周專科 江明學 醫師
主治項目
All-on-4 一日全口重建
三合一牙周治療
DSD數位微笑設計全瓷貼片
微創導航植牙
舒眠治療
3D齒雕

齒顎矯正專科 穆慧英 醫師
主治項目
隱適美隱形矯正
牙齒美白
微笑美學
青少年及成人矯正


.png)
.png)