噴砂美白案例
噴砂美白
常見的美白方式有以下四種
噴砂美白可以處除大部分外因性染色的色素,例如咖啡、茶葉、菸垢、檳榔垢,只能恢復原有的牙齒顏色,無法將牙齒變得更白。像是四環黴素染色等內因性染色,就無法透過噴砂美白去除唷!
噴砂美白是什麼?
利用含有碳酸氫鈉與碳酸氫鈣的顆粒,合併氣壓及水柱摩擦牙釉質來移除牙齒表面色素沉澱。如果經常性做噴砂美白的話,對法瑯質會有些微耗損哦~ 其實任何治療都是一樣,適量不過量是很重要的!
我的牙齒有咖啡垢,可以自己去買美白貼片嗎?
不建議,因為美白貼片是讓牙齒本身變白。咖啡垢是汙垢,是需要被清除的 除此之外,自行購買市售貼片回家使用,缺少專業醫師的協助,美白效果可能打折扣之外,自行不當使用下,可能傷及牙齒、牙齦。
建議大家要先了解自己的牙齒、想好想要達到什麼效果 由於每一位患者口內情況不同,皆需經過醫師診斷後才能確定最終的治療方式
噴砂美白能持續多久呢?
效果因人而異。如果口腔清潔維持得很好,效果是可以持續很長一段時間的,但如果做完美白依舊沒有改善飲食及清潔習慣,持續喝茶、咖啡、抽菸等等、忽略清潔,牙齒很容易又有色素沉澱的問題出現! 如果想要延長美白效果,容易沉積色素的食物、飲料盡量少碰、或是吃完後立即漱口。
- 噴砂美白
- 居家美白
- 冷光美白
- 瓷牙貼片
噴砂美白可以處除大部分外因性染色的色素,例如咖啡、茶葉、菸垢、檳榔垢,只能恢復原有的牙齒顏色,無法將牙齒變得更白。像是四環黴素染色等內因性染色,就無法透過噴砂美白去除唷!
噴砂美白是什麼?
利用含有碳酸氫鈉與碳酸氫鈣的顆粒,合併氣壓及水柱摩擦牙釉質來移除牙齒表面色素沉澱。如果經常性做噴砂美白的話,對法瑯質會有些微耗損哦~ 其實任何治療都是一樣,適量不過量是很重要的!
我的牙齒有咖啡垢,可以自己去買美白貼片嗎?
不建議,因為美白貼片是讓牙齒本身變白。咖啡垢是汙垢,是需要被清除的 除此之外,自行購買市售貼片回家使用,缺少專業醫師的協助,美白效果可能打折扣之外,自行不當使用下,可能傷及牙齒、牙齦。
建議大家要先了解自己的牙齒、想好想要達到什麼效果 由於每一位患者口內情況不同,皆需經過醫師診斷後才能確定最終的治療方式
噴砂美白能持續多久呢?
效果因人而異。如果口腔清潔維持得很好,效果是可以持續很長一段時間的,但如果做完美白依舊沒有改善飲食及清潔習慣,持續喝茶、咖啡、抽菸等等、忽略清潔,牙齒很容易又有色素沉澱的問題出現! 如果想要延長美白效果,容易沉積色素的食物、飲料盡量少碰、或是吃完後立即漱口。
患者見證分享
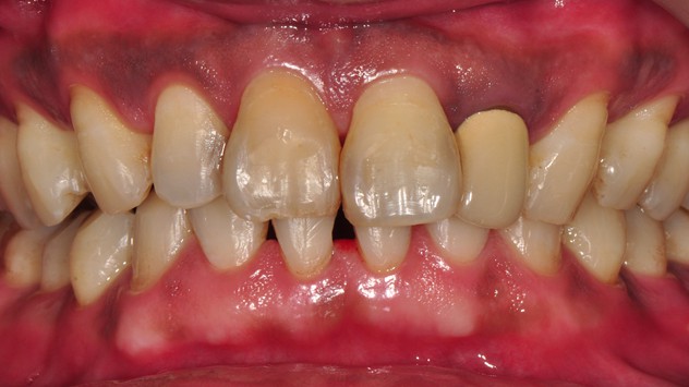
治療前:長期喝茶、咖啡,黑垢堆積
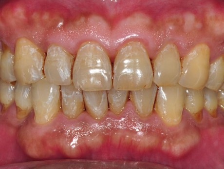
治療後:色素已經除
患者見證分享
醫生跟我講解完,才知道原來我這種情況洗牙是洗不掉的。進去診間躺在椅子上才過一下子,牙齒就清好了,原本心裡偷偷想說這麼快有清乾淨嗎?結果照鏡子一看,牙齒真的變很乾淨!雖然花了一點錢,但是很值得~
我這次回去之後要少喝一點咖啡,希望效果可以維持久一點。
此療程皆由醫生評估後,依照個人口腔狀況進行治療
每個人情況不同,實際情況須經由醫師專業評估而定
相似案例
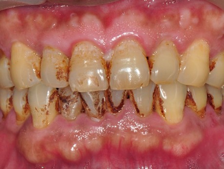
治療前:色素沉澱
治療後:已恢復原有齒色
治療醫師

植牙專科/牙周專科 江明學 醫師
主治項目
- All-on-4 一日全口重建
- 三合一牙周治療
- DSD數位微笑設計全瓷貼片
- 微創導航植牙
- 舒眠治療
- 3D齒雕

