根管後前牙斷裂
為什麼根管後要做牙冠?
多數進行根管治療後的患者,都會被建議要做牙套,許多人會問為什麼已經做治療了,還要再花錢做假牙冠呢?
有的人因為齵齒嚴重,導致齒質缺損過多、或是因為根管治療將牙髓腔打開,而身喪失一些齒質。因為牙齒的缺損過大、剩餘齒質較脆弱,如果不做牙套保護起來的話,牙齒容易受傷。
尤其做完根管治療的牙齒,因為失去了牙髓腔中神經、血管、淋巴等營養供應,不只牙齒會看起來暗沉,牙齒也會變得比較脆、容易斷裂。 如果不做牙套的話,在牙齒使用上得要非常地小心!
因為治療過後的牙齒不比健康牙齒,沒有做牙套保護起來牙齒,會很容易地因為受力過大而斷裂,為了省做牙套的錢而造成牙齒的二度傷害,反而得不償失。
有的人因為齵齒嚴重,導致齒質缺損過多、或是因為根管治療將牙髓腔打開,而身喪失一些齒質。因為牙齒的缺損過大、剩餘齒質較脆弱,如果不做牙套保護起來的話,牙齒容易受傷。
尤其做完根管治療的牙齒,因為失去了牙髓腔中神經、血管、淋巴等營養供應,不只牙齒會看起來暗沉,牙齒也會變得比較脆、容易斷裂。 如果不做牙套的話,在牙齒使用上得要非常地小心!
因為治療過後的牙齒不比健康牙齒,沒有做牙套保護起來牙齒,會很容易地因為受力過大而斷裂,為了省做牙套的錢而造成牙齒的二度傷害,反而得不償失。
全鋯冠假牙
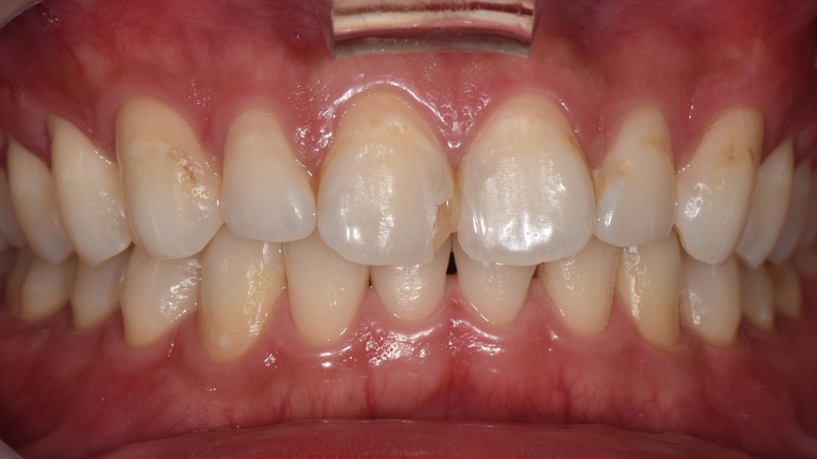
治療前:做過根管治療,進食時缺角
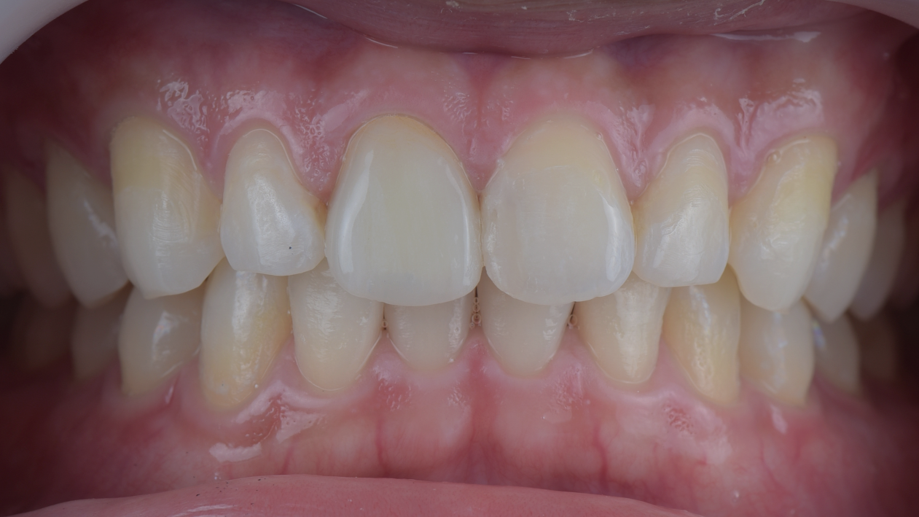
治療後:已套上牙套
患者見證分享
原本在別間診所做過根管治療,但那邊的醫生沒有跟我說要做牙套,所以我也不知道~門牙就這樣用了一陣子,直到最近突然缺一角才想說要請醫師幫我補起來,來之後才知道原來這顆牙已經不能補了、江醫師也有跟我講解原因、也和我解釋根管後的牙齒為什麼比較脆弱、為什麼需要做牙冠等等的問題,還好這顆牙齒還可以做牙套保護,治療過程很順利~
![]()
治療醫師


植牙專科/牙周專科 江明學 醫師
主治項目
All-on-4 一日全口重建
三合一牙周治療
DSD數位微笑設計全瓷貼片
微創導航植牙
舒眠治療
3D齒雕

