前牙美白-陶瓷貼片
該怎麼選擇美白貼片?
在醫師在評估過後建議做瓷牙貼片,既可以改善原本的牙齒過黃、補牙痕跡不整、染色等問題。
瓷牙貼片適合的對象:
想要替牙齒美容、想要改善變色問題、牙齒破損、斷裂等問題的人可以做美白貼片。
瓷牙貼片可以用多久呢?
實際使用年限依照個人飲食習慣而定,如果保養、習慣維持良好,可以使用10年以上。
貼片有好多種牌子,我該怎麼選擇呢?
建議選擇有口碑的大廠牌,雖然價格比較起來可能會高一點,不管是貼片的安全、外觀自然、材質耐用等等,都相對的有保障!
萬一選擇品質較差的貼片,最後傷到牙齒反而得不償失
我要做瓷牙貼片,該怎麼選擇醫師呢?
選擇擁有「DSD 數位微笑設計」 的專業認證的醫師很重要!
像傳統美白貼片是經過醫師評估後就直接貼上去的,當貼片做上去之後,病人就沒有多餘的討論空間。而DSD數位微笑設計能夠讓患者預先看見術後模擬、以及試戴貼片,能夠避免術後結果與理想不符的情況發生。
DSD數位微笑設計_瓷牙貼片
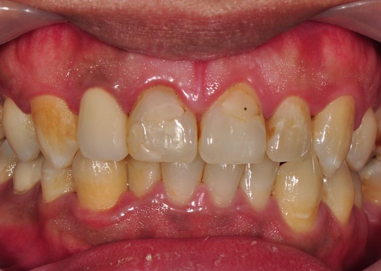
牙齒表面凹凸不平、有嚴重的黃垢
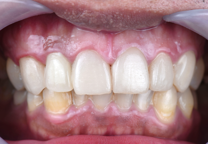
牙齒表面潔白、平順
DSD數位微笑設計
貼片是需要用很長一段時間的,因此選擇「DSD數位微笑設計」專業認證的醫師很重要唷~正式貼上貼片之前,醫師會做DSD數位模擬,除此之外,醫師也會幫患者做臨時貼片,可以預先看完成後的樣子,進而溝通修整型狀、避免結果與患者預期不符,修改至最滿意的狀態再做正式的貼片。
E-MAX全瓷貼片
患者心聲
治療後牙齒表面已看不出補牙的痕跡、牙齒泛黃的問題也解決了,看起來清爽許多!現在都可以很自然地張嘴,也不怕被笑了~
治療醫師

植牙專科/牙周專科 江明學 醫師
主治項目
All-on-4 一日全口重建
三合一牙周治療
DSD數位微笑設計全瓷貼片
微創導航植牙
舒眠治療
3D齒雕

