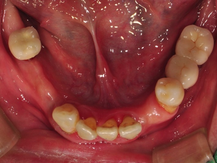
全口多處缺牙
RPD部分活動假牙
活動假牙有分為
- RPD部分活動假牙
- BPS全口活動假牙
什麼樣的人適合做部分活動假牙呢?
- 多顆缺牙
- 年長者
- 身體不適合做手術的人
每個人的活動假牙都是量身訂做的,醫師會針對缺損部位、口腔狀況不同,為病人設計出專屬的活動假牙,因此每一位患者所拿到的假牙形狀會有很大的不同。 RPD活動假牙是使用金屬鉤子、磁鐵、特殊套件,將假牙掛在牙床上,其餘的支撐點是在剩餘的牙齒上面,因此長期使用下來會有
1.咬合力會降低、2.慢性拔牙的問題產生
不管是使用哪一種假牙,平時都要清潔徹底、一定要定期回診檢查!
牙床長時間受到假牙的壓迫程度不一樣,可能會出現牙齦萎縮的問題,導致假牙變鬆,需要定期回診給醫師調整、檢查,以避免咀嚼功能喪失、咬合吃力。
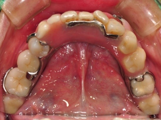
裝上RPD活動式假牙
治療前-上顎
治療後-下顎
裝上活動式假牙-上顎
裝上活動式假牙-下顎
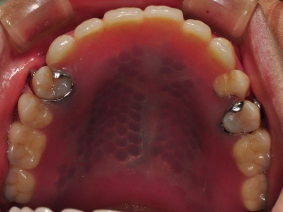
治療前
治療後
患者見證分享
陳阿姨裝上假牙後,除了吃東西變得比較方便之外,整個牙齒門面看起來也比較漂亮了!
之前都不太敢將嘴巴張太大,現在可以開心地大笑,非常開心~ 治療完成後三個月的後續追蹤,陳阿姨表示都很認真的在清潔牙齒,假牙也用得很習慣!
之前都不太敢將嘴巴張太大,現在可以開心地大笑,非常開心~ 治療完成後三個月的後續追蹤,陳阿姨表示都很認真的在清潔牙齒,假牙也用得很習慣!
此療程皆由醫生評估後,依照個人口腔狀況進行治療
每個人情況不同,實際情況須經由醫師專業評估而定
每個人情況不同,實際情況須經由醫師專業評估而定
治療醫師

植牙專科/牙周專科 江明學 醫師
主治項目
All-on-4 一日全口重建
三合一牙周治療
DSD數位微笑設計全瓷貼片
微創導航植牙
舒眠治療
3D齒雕

