牙根切半術
牙根切半術是什麼?
上下顎大臼齒通常有兩個牙根,當其中一個牙根受到傷害,如蛀牙、受到牙周病侵害、牙垢侵入牙根分岔處,造成牙床骨萎縮時,就可能會做到牙根切半術。
牙根切半術除了可以保留原有牙齒健康地部分之外,也能降低需要植牙的機率、進而減少治療所需的花費。
牙根切半術適合對象:
如果原本的牙齒保留住,有什麼好處呢?
和植牙比起來花費較少、牙齒不會變黑!仍然有使用自己原生牙齒的機會
不想植牙、做牙根切半術有比較好嗎?
不一定,需依每個人的口腔狀況不同而定。
以楊先生的情況來說,做植牙手術會比牙根切半術來得好,除了植牙能夠維持的時間較長之外、成功率也比較高。
因為後牙做完切半術之後,只剩下一個牙根支撐,所以不能夠咬較硬的食物,牙齒也比較脆弱、較容易有斷裂的情況發生。
牙根切半術除了可以保留原有牙齒健康地部分之外,也能降低需要植牙的機率、進而減少治療所需的花費。
牙根切半術適合對象:
- 不能、不想做植牙手術的人
- 其中一個牙根完整、未受損的人
如果原本的牙齒保留住,有什麼好處呢?
和植牙比起來花費較少、牙齒不會變黑!仍然有使用自己原生牙齒的機會
不想植牙、做牙根切半術有比較好嗎?
不一定,需依每個人的口腔狀況不同而定。
以楊先生的情況來說,做植牙手術會比牙根切半術來得好,除了植牙能夠維持的時間較長之外、成功率也比較高。
因為後牙做完切半術之後,只剩下一個牙根支撐,所以不能夠咬較硬的食物,牙齒也比較脆弱、較容易有斷裂的情況發生。
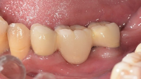
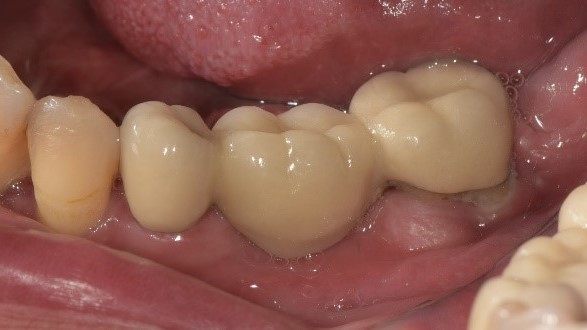
牙根受損,做牙根切半術
治療前X光
治療後X光
治療前
治療後
患者見證分享
如果植牙的話需要做三顆,費用實在是太高了!
覺得沒有辦法負擔,我非常排斥拔牙齒,想要像原本一樣做牙橋、不影響生活就好了,但是詢問了好幾間牙醫都說需要拔掉,直到後來姊姊推薦我來給江醫師看看,為了不要拔牙,我大老遠找到林口之後才解決問題。
因為牙齒做了是要用很長一段時間的,不敢隨便找一間牙醫就做決定,還好最後有找到替代拔牙的解決方法!雖然住在樹林過來林口需要一段時間,但是能把牙齒做好比較重要,找到信任的醫師做治療,對我來說很重要,真的非常感謝江醫師。
覺得沒有辦法負擔,我非常排斥拔牙齒,想要像原本一樣做牙橋、不影響生活就好了,但是詢問了好幾間牙醫都說需要拔掉,直到後來姊姊推薦我來給江醫師看看,為了不要拔牙,我大老遠找到林口之後才解決問題。
因為牙齒做了是要用很長一段時間的,不敢隨便找一間牙醫就做決定,還好最後有找到替代拔牙的解決方法!雖然住在樹林過來林口需要一段時間,但是能把牙齒做好比較重要,找到信任的醫師做治療,對我來說很重要,真的非常感謝江醫師。
此療程皆由醫生評估後,依照個人口腔狀況進行治療
每個人情況不同,實際情況須經由醫師專業評估而定
治療醫師

植牙專科/牙周專科 江明學 醫師
主治項目
All-on-4 一日全口重建
三合一牙周治療
DSD數位微笑設計全瓷貼片
微創導航植牙
舒眠治療
3D齒雕

