矯正後想改善齒型
我適合做瓷牙貼片嗎?
瓷牙貼片通常用於以下
1. 牙齒美白(前牙過黃、顏色不均、四環黴素染色等)![]()
2. 修整牙齒形狀
3. 前牙蛀牙過大
4. 改善微笑曲線
5. 牙縫過大
6. 輕微牙齒不整
瓷牙貼片有什麼缺點呢?
1. 牙齒美白(前牙過黃、顏色不均、四環黴素染色等)

2. 修整牙齒形狀
3. 前牙蛀牙過大
4. 改善微笑曲線
5. 牙縫過大
6. 輕微牙齒不整
瓷牙貼片有什麼缺點呢?
1. 會磨牙的人不建議做貼片
2. 非常喜歡吃堅硬食物的人 不適合
3. 貼片如果破裂了,無法修補、需要重做
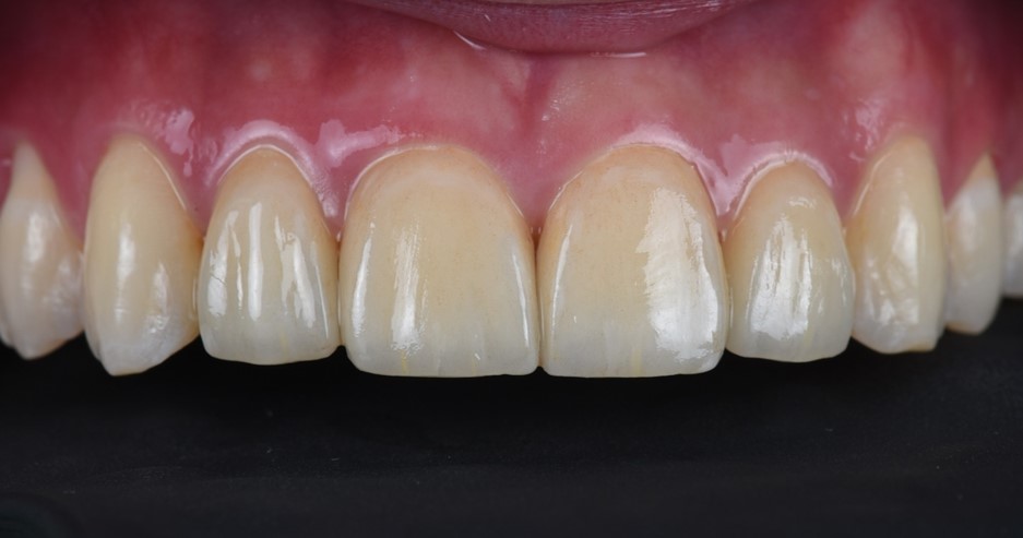
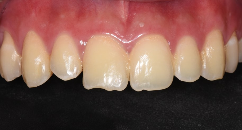
林先生對自己門牙的形狀不滿意,做牙冠需要磨掉比較多的牙齒所以不考慮,因此醫師在評估過後建議做瓷牙貼片,既可以改善原本的齒型不整、也可以調整微笑曲線至較佳的比例。
治療做了是需要用很長一段時間的,因此許多患者會在治療前很擔心萬一做不好怎麼辦?
其實可以不用擔心,因為在正式貼上貼片之前,醫師會做DSD數位模擬,加上會幫患者做臨時貼片,可以先看完成後的樣子,進而溝通修整型狀、避免結果與患者預期不符,修改至最滿意的狀態再做正式的貼片。
2. 非常喜歡吃堅硬食物的人 不適合
3. 貼片如果破裂了,無法修補、需要重做
林先生對自己門牙的形狀不滿意,做牙冠需要磨掉比較多的牙齒所以不考慮,因此醫師在評估過後建議做瓷牙貼片,既可以改善原本的齒型不整、也可以調整微笑曲線至較佳的比例。
治療做了是需要用很長一段時間的,因此許多患者會在治療前很擔心萬一做不好怎麼辦?
其實可以不用擔心,因為在正式貼上貼片之前,醫師會做DSD數位模擬,加上會幫患者做臨時貼片,可以先看完成後的樣子,進而溝通修整型狀、避免結果與患者預期不符,修改至最滿意的狀態再做正式的貼片。
瓷牙貼片治療對比
治療前:門牙形狀不平、側門牙較短
治療後:前牙外型修復完成
術前微笑曲線
術後微笑曲線
術前微笑曲線_側面
術後微笑曲線_側面
DSD數位微笑設計

DSD數位微笑設計的概念其實就像買房子的設計圖。DSD是使用各種資料數位化的分析、模擬,打造完美比例、設計出最適合患者專屬的微笑。 .

E-Max瓷牙貼片,為每個患者量身打造專屬貼片,貼片使用全瓷材質,自然透光。.
DSD數位微笑設計_術前模擬試戴
試戴臨時貼片
正式貼片,完成治療
治療醫師

植牙專科/牙周專科 江明學 醫師
主治項目
All-on-4 一日全口重建
三合一牙周治療
DSD數位微笑設計全瓷貼片
微創導航植牙
舒眠治療
3D齒雕

