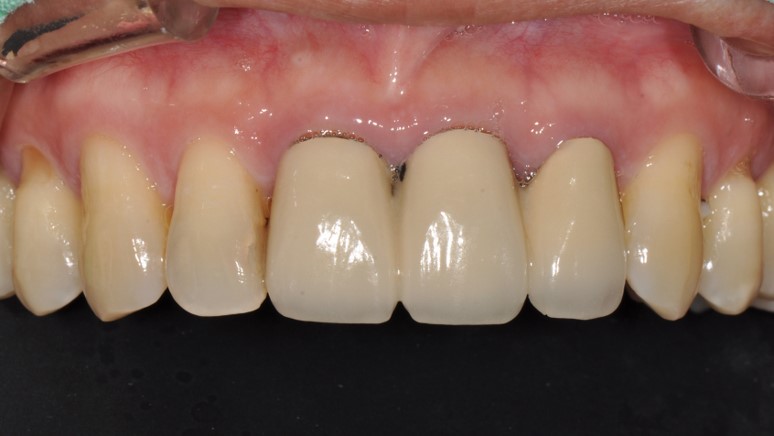
使用多年的金屬牙冠導致牙齦黑邊
金屬牙冠還有分不同種類?
張先生以前做的假牙冠出現了有異味、黑邊的問題 有異味是因為假牙不夠密合,導致牙垢、髒污跑進縫隙裡面、細菌孳生。
黑邊則是因為金屬牙冠內含金屬成分經過口內的溫度、濕度的變化,釋出的金屬離子會造成牙齦染色、或者是牙齦萎縮導致假牙邊外露。除了影響美觀之外,基本上在假牙的使用上影響不會太大。
不換全瓷冠,假牙黑邊該如何改善呢?
張先生因為預算的關係,不考慮全瓷冠假牙。 醫師幫他換上半貴金屬牙冠、並且將牙齦修邊,讓牙齦蓋住假牙邊緣、遮住黑邊。如此一來,外觀看起來也會比起傳統金屬牙冠自然許多,但是隨著患者的生活習慣,之後牙齦萎縮了,黑邊還是會再出現。
半貴金屬牙冠雖然牙齒的透光度比較好,但一樣會有黑邊的問題發生。除此之外,貴金屬牙冠的材質比較穩定,相較於傳統金屬牙冠較不容易有過敏、排斥的問題。
黑邊則是因為金屬牙冠內含金屬成分經過口內的溫度、濕度的變化,釋出的金屬離子會造成牙齦染色、或者是牙齦萎縮導致假牙邊外露。除了影響美觀之外,基本上在假牙的使用上影響不會太大。
不換全瓷冠,假牙黑邊該如何改善呢?
張先生因為預算的關係,不考慮全瓷冠假牙。 醫師幫他換上半貴金屬牙冠、並且將牙齦修邊,讓牙齦蓋住假牙邊緣、遮住黑邊。如此一來,外觀看起來也會比起傳統金屬牙冠自然許多,但是隨著患者的生活習慣,之後牙齦萎縮了,黑邊還是會再出現。
半貴金屬牙冠
- 金屬成分較穩定,無毒性
- 色澤與真牙相近、較自然
傳統金屬牙冠
- 金屬成分較不穩定,可能會過敏、容易導致牙齦染色
- (死白)、不自然 傳統金屬假牙,除了有黑邊問題之外,內層金屬因為沒有透光性,導致假牙看起來死白、不自然。
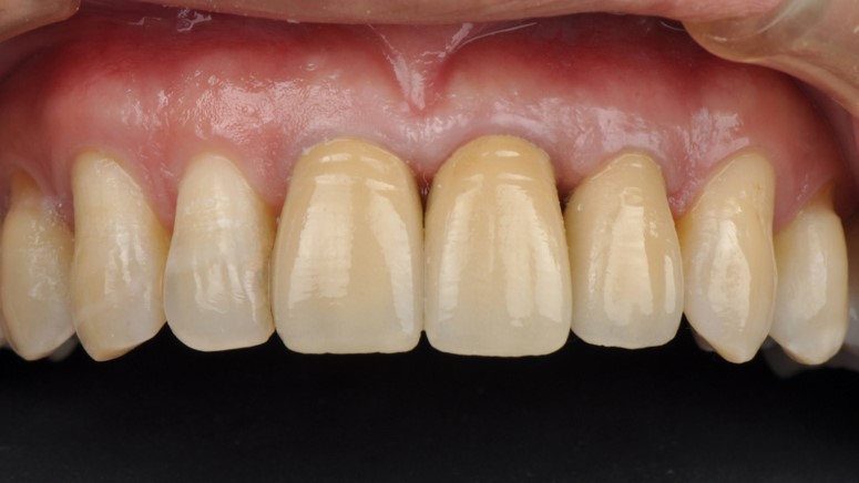
將老舊金屬牙冠更換為半貴金屬牙冠
半貴金屬牙冠

治療前:金屬黑邊明顯
治療後:色澤自然
患者見證分享
以前做假牙的時候,沒有什麼太多選擇。裝上傳統金屬假牙後,牙齦上的黑邊、假牙的死白讓我一直很在意!想換掉舊的牙冠好久了,但是害怕遇到不好的醫師,就遲遲沒有行動~ 一直到最近,朋友的媽媽推薦我來給江醫師看看。
很高興的從諮詢到治療結束,醫師都講解得很細心,讓我在整個治療過程都滿放心的,對我來說除了牙齒做好以外,遇到自己能信任的醫師也非常重要!
很高興的從諮詢到治療結束,醫師都講解得很細心,讓我在整個治療過程都滿放心的,對我來說除了牙齒做好以外,遇到自己能信任的醫師也非常重要!
此療程皆由醫生評估後,依照個人口腔狀況進行治療
每個人情況不同,實際情況須經由醫師專業評估而定
每個人情況不同,實際情況須經由醫師專業評估而定
治療醫師

植牙專科/牙周專科 江明學 醫師
主治項目
All-on-4 一日全口重建
三合一牙周治療
DSD數位微笑設計全瓷貼片
微創導航植牙
舒眠治療
3D齒雕

