牙周病並不像小感冒會自己痊癒!
病患治療訴求:
病患因牙周病問題,時常在刷牙的時候都會發現牙齦有流血、牙齒歪斜傾倒,導致刷不乾淨的問題,前來求診。
病患因牙周病問題,時常在刷牙的時候都會發現牙齦有流血、牙齒歪斜傾倒,導致刷不乾淨的問題,前來求診。
看看醫師怎麼說:
刷牙時流血是因為有牙周病,細菌會讓牙齦發炎。牙齒歪歪的則是因為後牙長時間缺牙,導致兩旁牙齒沒有支撐力而傾倒。
刷牙時流血是因為有牙周病,細菌會讓牙齦發炎。牙齒歪歪的則是因為後牙長時間缺牙,導致兩旁牙齒沒有支撐力而傾倒。
如有蛀牙問題應盡快治療,尋求專業醫師幫助
避免錯誤治療造成不可逆的傷害!
避免錯誤治療造成不可逆的傷害!
牙周病並不像小感冒會自己痊癒!
張小姐最近在刷牙時,發覺牙齦常常會流血,上網查到可能是牙周病才前來就醫,經過檢查後,張小姐確實有牙周病的問題。小姐的缺牙處必須做植牙手術,但是在她就醫時已經缺牙了一段時間,導致其他牙齒歪斜,因此治療做起來會更加的複雜!原先除了治療牙周病之外,只要在缺牙處做植牙即可,現在則是需要再做矯正,才能讓牙齒恢復到正確的位置。
定期做口腔檢查,清除牙菌斑和牙結石,不但可以預防牙周病的到來,還能夠藉著定期檢查,讓醫師及時發現口腔內的問題,及早做治療。
口腔內不是所有地方都可以自己清潔得到的,如果口腔內有異常,建議把握最佳治療期間,向牙醫師求助,因為牙周病問題,不看醫生是不會自己好起來的!
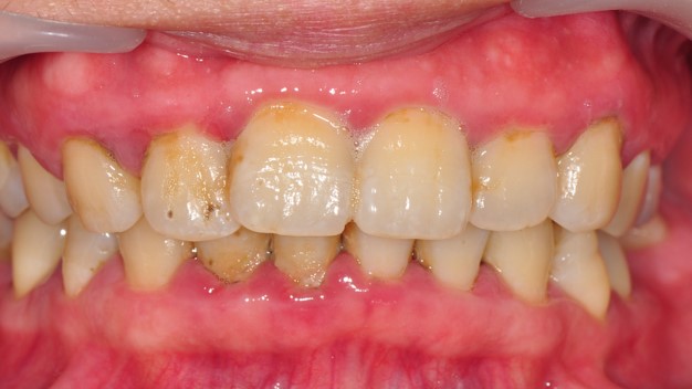
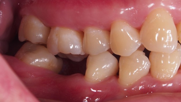
後牙缺牙+牙周病導致牙齒歪斜



牙周治療前:口內衛生不佳、牙齦紅腫、後牙缺牙、牙齒傾倒等問題。
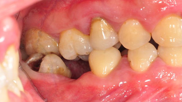
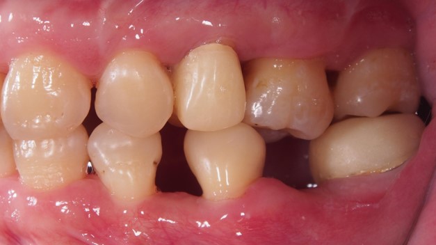
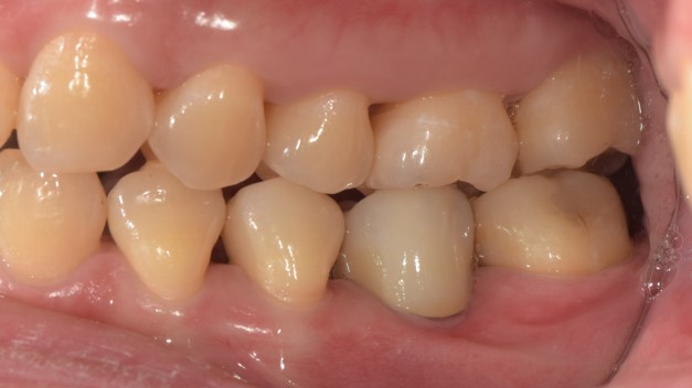
牙周病治療完成



牙周治療後:牙周病治療結束、牙周已恢復健康(缺牙、傾倒問題尚未治療)
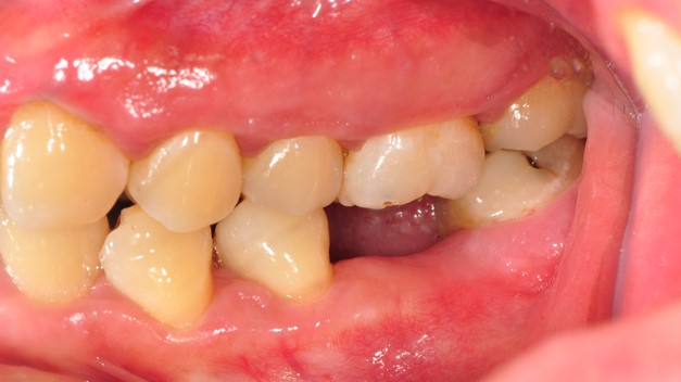
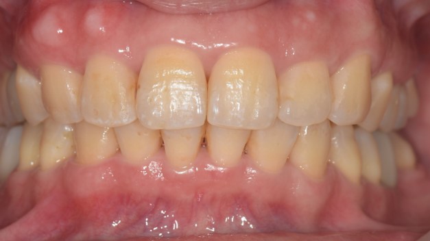
缺牙處做植牙+全口矯正



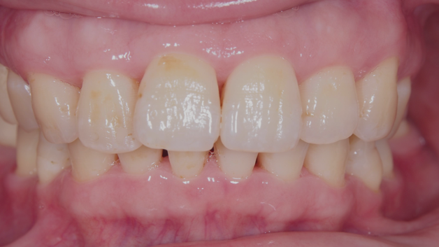
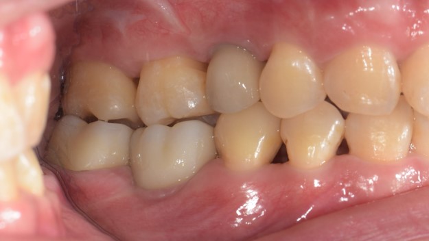
治療結束後對比
治療前:牙齒明顯歪斜
治療後:口腔狀況治療完成,牙齒排列整齊
患者見證分享
我在最後看到對比照片才發現原來差這麼多,當時是突然發覺在刷牙的時候都會流血,覺得這樣好像不太正常,來這邊做諮詢的時候才知道原來我的牙齒有這麼多問題!如果早點治療就不會這麼多事情要做了~雖然治療過程有點麻煩,但是幫我治療的江醫師講解得很清楚,一一地向我解釋所有的治療,讓我很放心,最後的結果我也很滿意!

此療程皆由醫生評估後,依照個人口腔狀況進行治療
每個人情況不同,實際情況須經由醫師專業評估而定
治療醫師

植牙專科/牙周專科 江明學 醫師
主治項目
All-on-4 一日全口重建
三合一牙周治療
DSD數位微笑設計全瓷貼片
微創導航植牙
舒眠治療
3D齒雕

