牙周病_前牙美學案例
假牙為什麼會變黑?
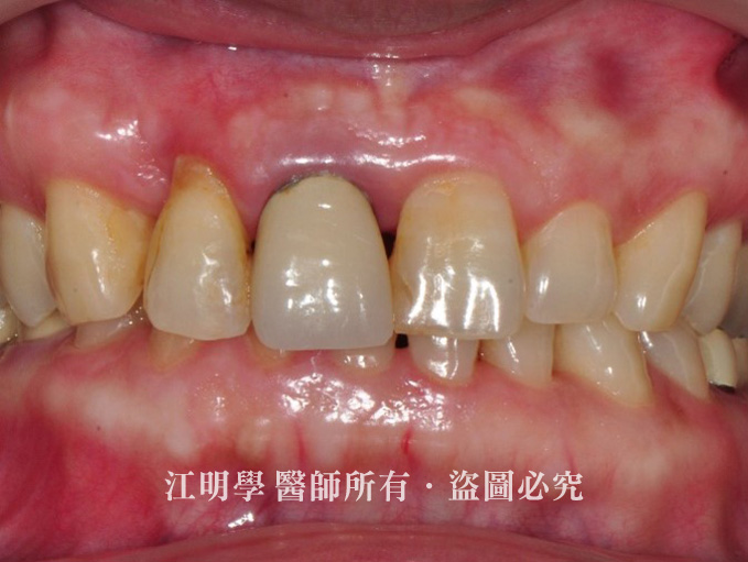
黃小姐深受牙痛的困擾,卻又害怕套上牙套之後,像以前做的一樣,假牙邊緣會黑黑的不美觀,因此不太想做治療。
假牙黑邊和材質有關,因為傳統假牙含有金屬成分,邊緣呈黑色。許多人會問「為什麼一開始做好假牙時沒有黑邊呢?」其實是因為牙肉的厚度把它擋住了。
通常只要牙肉變薄、或者是牙齦萎縮,假牙的黑邊就會在牙齦和假牙交接處外露。
如果是很在意黑邊的患者,建議可以選用全瓷冠,因為這種材料內不含金屬,透光性也比較好,外觀看起來和自然牙齒沒有太大的差別。
假牙黑邊和材質有關,因為傳統假牙含有金屬成分,邊緣呈黑色。許多人會問「為什麼一開始做好假牙時沒有黑邊呢?」其實是因為牙肉的厚度把它擋住了。
通常只要牙肉變薄、或者是牙齦萎縮,假牙的黑邊就會在牙齦和假牙交接處外露。
如果是很在意黑邊的患者,建議可以選用全瓷冠,因為這種材料內不含金屬,透光性也比較好,外觀看起來和自然牙齒沒有太大的差別。
牙周病前牙植牙+假牙案例
治療前:牙周病,牙齒時常搖晃、感到疼痛
治療後:植牙、假牙治療完成
患者見證分享
做完治療之後,對我的生活影響滿大的,不會動不動就牙痛不敢吃東西、之前牙齦上的黑邊也一起解決了。在做完治療之後大家都說我的牙齒變得很漂亮,現在吃東西都一切正常以外,我自己笑起來也更有自信!
此療程皆由醫生評估後,依照個人口腔狀況進行治療
每個人情況不同,實際情況須經由醫師專業評估而定
此療程皆由醫生評估後,依照個人口腔狀況進行治療
每個人情況不同,實際情況須經由醫師專業評估而定
治療醫師

植牙專科/牙周專科 江明學 醫師
主治項目
All-on-4 一日全口重建
三合一牙周治療
DSD數位微笑設計全瓷貼片
微創導航植牙
舒眠治療
3D齒雕

