不美觀的牙齦
牙齦太長怎麼辦?
趙媽媽表示很在意牙齒的外觀,黑黑的一條線讓她張口時非常不自在,同時也詢問醫師覺得自己牙齒太短、牙齦露出太多,有辦法改善嗎?
牙齦下有蛀牙、牙齒斷裂至牙齦下、牙冠太短都可以做牙冠增長術,能夠將牙齦往上調整,能夠減少張口時牙齦露出面積、增加牙冠露出長度。
牙齦下有蛀牙、牙齒斷裂至牙齦下、牙冠太短都可以做牙冠增長術,能夠將牙齦往上調整,能夠減少張口時牙齦露出面積、增加牙冠露出長度。
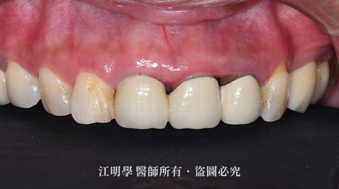
牙冠黑邊露出+牙齦與牙冠比例不佳
治療前:牙冠黑色邊緣露出,牙冠露出較短。
治療後:金屬假牙已更換為全瓷冠,牙冠增長後整體比例更佳。
患者見證分享
換全瓷冠之後大家都說看起來差很多,不像以前一樣,張口一看就知道是假牙,另外江醫師建議做的牙冠增長術,原本有點害怕,鼓起勇氣做了之後大概7天左右就恢復,沒有想像中的可怕,做完也覺得牙齒比例變得比較好看了,很值得!
此療程皆由醫生評估後,依照個人口腔狀況進行治療
每個人情況不同,實際情況須經由醫師專業評估而定
每個人情況不同,實際情況須經由醫師專業評估而定
治療醫師

植牙專科/牙周專科 江明學 醫師
主治項目
All-on-4 一日全口重建
三合一牙周治療
DSD數位微笑設計全瓷貼片
微創導航植牙
舒眠治療
3D齒雕

