植牙手術案例
病患治療訴求:
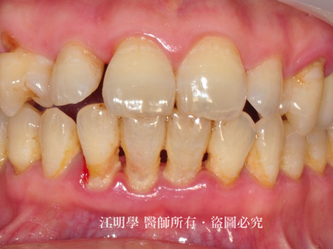
61歲的劉先生,因平時口腔清潔不當,造成牙結石堆積、牙齦紅腫萎縮,且刷牙時會出血。因為缺牙影響日常飲食,因此前來求診。
61歲的劉先生,因平時口腔清潔不當,造成牙結石堆積、牙齦紅腫萎縮,且刷牙時會出血。因為缺牙影響日常飲食,因此前來求診。
看看醫師怎麼說:
經江醫師診斷,劉先生的口腔有嚴重牙周病,需先進行牙周病治療,待牙周恢復健康後再安排植牙療程。 考慮到劉先生年紀已大,恢復力較差,建議採用微創水雷射治療取代傳統需動刀的牙周手術療程,與傷口較小的微創植牙。
經江醫師診斷,劉先生的口腔有嚴重牙周病,需先進行牙周病治療,待牙周恢復健康後再安排植牙療程。 考慮到劉先生年紀已大,恢復力較差,建議採用微創水雷射治療取代傳統需動刀的牙周手術療程,與傷口較小的微創植牙。
什麼是微創水雷射治療?
什麼是微創植牙?
微創植牙治療的概念是在電腦模擬將來植牙的位置,並照著位置設計輸出,製造精準的手術模板,藉此提高植牙的安全性與成功率。
缺牙不處理,小心臉越來越歪!
因為右側缺牙沒有處理,長期過度使用左側單邊咀嚼食物,造成咬合重心偏移、咬合面嚴重耗損,拍照時會發現臉型不對稱、好像歪了一邊,就是長期只靠單邊咀嚼導致的。
治療前:植牙將缺牙補齊,重建口腔咬合。
治療後:植牙將缺牙補齊,重建口腔咬合。
治療前X光
治療後X光
牙齒往缺牙處移動,開始出現縫隙。
牙齒獲得支撐力,空隙逐漸合起來。
患者見證分享
新的牙齒使用起來狀況良好,就像自己牙齒一樣,現在不但改善日常生活飲食,也解決了惱人已久的口氣問題。原本口腔時常飄出強烈難聞的氣味,連老婆也不想靠近,治療後大大改善夫妻關係,生活也變得更開心了!
治療醫師

植牙專科/牙周專科 江明學 醫師
主治項目
All-on-4 一日全口重建
三合一牙周治療
DSD數位微笑設計全瓷貼片
微創導航植牙
舒眠治療
3D齒雕

