植牙案例
病患治療訴求:
簡爺爺年輕的時候後牙缺牙,選擇了相較植牙便宜的牙橋復型,但因清潔上不方便,久了造成牙齦發炎腫脹。現在牙橋壞了,牙齒裡面會痛、且牙根鬆動,進食困難,因此前來康澤牙醫求診。
簡爺爺年輕的時候後牙缺牙,選擇了相較植牙便宜的牙橋復型,但因清潔上不方便,久了造成牙齦發炎腫脹。現在牙橋壞了,牙齒裡面會痛、且牙根鬆動,進食困難,因此前來康澤牙醫求診。
看看醫師怎麼說:
經康澤江院長評估過後,我們的治療計畫如下,讓您的牙齒恢復美麗及健康。
1. 拆除牙橋
2. 拔除殘根
3. 植入植體
4. 假牙贋復
簡爺爺/植牙患者心聲
「我已經很認真刷牙了,為什麼刷完還是感覺有異味?」
這是簡爺爺初診時提出的疑問。
「因為牙橋使用久了已經脫落、出現縫隙,真正散發異味的地方都藏在牙橋裡面,自然清潔不到。」經過江醫師詳細的解說,評估與簡爺爺討論後,決定拆除已不能使用的牙橋,改採最接近真實牙咀嚼功能的「單顆個別重建」,幫助簡爺爺恢復正常咬合功能。
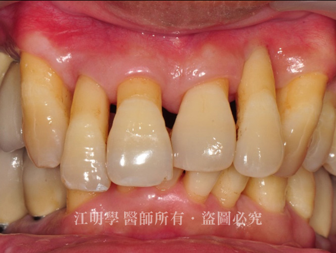
門牙的牙周病造成的牙齒長短不一
看看簡爺爺治療前後的改變
治療前
DSD術前模擬
治療後
此療程皆由醫生評估後,依照個人口腔狀況進行治療
每個人情況不同,實際情況須經由醫師專業評估而定
每個人情況不同,實際情況須經由醫師專業評估而定
治療醫師

植牙專科/牙周專科 江明學 醫師
主治項目
All-on-4 一日全口重建
三合一牙周治療
DSD數位微笑設計全瓷貼片
微創導航植牙
舒眠治療
3D齒雕

