後牙植牙案例
病患治療訴求:
我平常都有刷牙,還是有好幾顆牙齒蛀牙,有的還會痛,可以幫我補一補就好嗎?
看看醫師怎麼說:
我平常都有刷牙,還是有好幾顆牙齒蛀牙,有的還會痛,可以幫我補一補就好嗎?
因為牙齒蛀得很嚴重,有一顆大臼齒已經不能使用,必須拔除做植牙手術。
落實口腔清潔很重要,缺牙問題即早治療!
如何正確的清潔口腔是很重要的一點,如若像廖伯伯一樣,平時口腔清潔不正確、有蛀牙又未即時就醫治療,導致蛀牙狀況越來越嚴重,到最後不但牙痛嚴重,也要多花時間及金錢來治療。
植牙並非不會蛀牙,如果能夠維護良好,並且定期做牙科檢查及保持口腔衛生,假牙是可以長期使用的。
看看治療前後的差異吧!
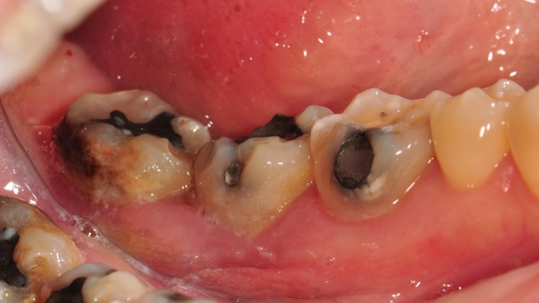
治療前:蛀牙情況嚴重、牙齒斷裂導致牙痛難耐
治療後:已將壞掉的智齒、臼齒拔除及做植牙手術,恢復良好
患者見證分享
以前都覺得蛀牙不會痛就不在意,所以也很久沒看牙醫了,這幾天痛到沒辦法吃東西才來補牙齒,還好有來做治療,這才知道狀況這麼嚴重了還需要拔牙齒,在做完牙齒之後狀況好多了,可以正常進食,也知道以後要多加注意清潔的部分。
此療程皆由醫生評估後,依照個人口腔狀況進行治療
每個人情況不同,實際情況須經由醫師專業評估而定
治療醫師

植牙專科/牙周專科 江明學 醫師
主治項目
All-on-4 一日全口重建
三合一牙周治療
DSD數位微笑設計全瓷貼片
微創導航植牙
舒眠治療
3D齒雕